牙烟

每6秒钟即有1人死于吸烟但你不知道的是包括电子烟伤肺也毁牙
图片尺寸495x370
男生烟牙,黄牙,口臭怎么办?这个神器帮你一招解决
图片尺寸600x385
男生烟牙黄牙口臭怎么办这个神器帮你一招解决
图片尺寸640x510
烟牙
图片尺寸328x188
粤语"牙烟"怎么写?
图片尺寸1068x724
从而形成色素的沉淀,久而久之,就会出现大家所说的"烟渍牙","烟屎牙"
图片尺寸527x411
有烟斑和牙垢的人类牙齿.牙科诊所的特写宏.卫生的概念
图片尺寸1200x800
持有香烟的黄色脏牙齿的笑脸女人
图片尺寸1280x852
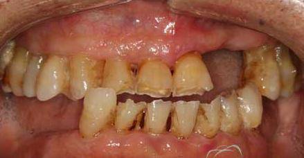
又因平时喜欢喝浓茶,吸烟较多,牙齿表面茶垢烟斑累积严重,上前牙排列
图片尺寸620x465
过来人支你一招,烟牙分分钟亮白!
图片尺寸640x480
全民爱牙公益行动——吸烟还会影响种植牙的寿命吗
图片尺寸600x435
牙白神器 美白 去烟渍
图片尺寸787x1048
科普百科今日科普牙齿与香烟的爱恨情仇
图片尺寸439x228
可爱的卡通牙烟和咖啡照片
图片尺寸344x300
这是烟牙,茶渍牙反馈,使用三天效果就杠杠的,有没有心动想试一试!
图片尺寸1200x1200
法国变态牙套15秒解救大黄牙轻轻一擦祛除茶牙烟牙臭嘴巴
图片尺寸1080x400
牙齿上烟垢能洗掉吗
图片尺寸393x211
牙膏界的灭火器来了改善口臭牙垢黑烟垢也能刷干净
图片尺寸660x439
法国变态牙套15秒解救大黄牙轻轻一擦祛除茶牙烟牙臭嘴巴
图片尺寸1080x371
8瑞典唇烟咖啡葡萄浆果alcapone牙烟尼古丁含片进口替烟snus
图片尺寸529x529