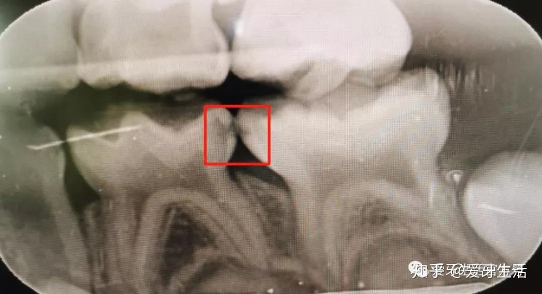
牙片怎么看龋齿图解

蛀牙太深是不是一定要抽神经?
图片尺寸671x533
小助手说牙齿矫正1分钟就能看懂牙片
图片尺寸1080x1440
三分钟教你看懂牙片!
图片尺寸971x1149
牙片怎么看龋齿? - 知乎
图片尺寸1049x588
怎么通过牙片看有几颗蛀牙
图片尺寸1109x563
黑乎乎的牙片要怎么看?这份看片指南请收好
图片尺寸1080x641
造成龋齿有很多原因
图片尺寸440x587
儿童乳牙治疗|牙片分析6015 图1: 左上门牙有龋坏,需要补牙.
图片尺寸2498x1280
网友表示:医不起
图片尺寸706x781
这个牙片是去年洗牙顺便拍的,当时医生说我蛀齿可以解决一下,我以为
图片尺寸1080x540
陪伴十几年的蛀牙终于拔掉啦
图片尺寸1080x810
今天我们讲一讲"隐藏的龋齿"——邻面龋
图片尺寸1080x587
姐姐的蛀牙一张片子全看清.邻家姐姐来看牙,进门面色凝重,一看 - 抖音
图片尺寸1861x892
07牙齿根管治疗日记
图片尺寸1080x810
敢于一个人去牙科的都是勇士07
图片尺寸1080x1439
后续 掉的应该是牙齿?牙片能看出有没蛀牙嘛
图片尺寸1080x1080
劳烦uu们帮我看看龋齿
图片尺寸1080x1440
如何判别浅龋中龋深龋的临床表现
图片尺寸541x266
看到小红书大家的分享发现挺多小伙伴都有会蛮花钱的牙齿方面问题
图片尺寸1080x609
让朋友帮我预约了上海曙康口腔的兰医生先是拍了全景牙片,兰医生看后
图片尺寸1080x570