牙片拍摄球管位置

小牙片的拍摄真的是我刚开 - 抖音
图片尺寸1170x1548
安装结束后拍摄的牙片,可见种植牙牙根的位置及骨愈合的情况.
图片尺寸1321x1689
为什么根管治疗要反复拍片?
图片尺寸595x363
为什么检查牙齿一定要拍牙片呢
图片尺寸800x1065
管治疗所以拍了门牙的牙片看下来只需要好好刷牙暂时可以再观望由于小
图片尺寸1080x1439
牙齿矫正の日记体验感满分
图片尺寸1080x1439
既然全景片什么都能看到了,为啥还要拍小牙片?
图片尺寸242x182
牙医和护士都必须明白的牙片拍摄技巧
图片尺寸986x569
小牙片
图片尺寸1080x1080
医生要观察单颗牙齿时会用到这种牙片,此时拍摄小牙片会比全景片来得
图片尺寸440x183
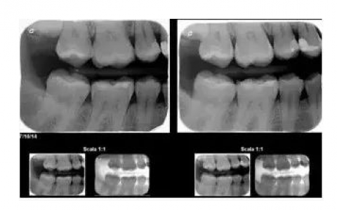
根管治疗当中的slob原则
图片尺寸887x1183
根管治疗过程中需要多次拍摄小牙片
图片尺寸675x892
且配合牙医拍牙片有许多积极的意义,根据治疗的目的,牙医会选择拍摄
图片尺寸480x300
牙片的介绍
图片尺寸682x363
拍牙片丨小编带你解锁看牙新姿势
图片尺寸1080x687
牙片详解,教你看懂牙片!_口腔_牙齿_全景
图片尺寸1924x1082
了完善充填术前全颌曲面断层片因患者咽反射严重,无法完成小牙片拍摄
图片尺寸640x360
199元秒杀儿童全面口腔检查送价值150元牙片深圳
图片尺寸640x422
口腔x线片拍摄定位技巧
图片尺寸850x640
03:56来源:好看视频发布时间:2019-12-10如何准确拍摄x光牙片08:4
图片尺寸352x234