牙种植

长沙决定种植牙手术是否成功的要素是什么
图片尺寸1080x810
种植牙效果是否自然呢
图片尺寸654x461
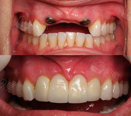
种植牙展示图
图片尺寸500x372
进口种植牙半口需要多少钱不同品牌相差一倍的价格都不止
图片尺寸500x300
种植牙到底可以用多长时间
图片尺寸404x286
种植牙 - 求真百科
图片尺寸1024x789
杭州最便宜的种植牙要多少钱一颗尤其是瑞士和德国的种植牙价格
图片尺寸600x466
种植牙又名:全口牙种植_圈子-新氧美容整形
图片尺寸1712x1284
全口种植牙一般流程_牙齿种植_介绍_治疗方式 - 好大夫在线
图片尺寸1037x1842
牙种植学的数字化工作流程 第11十一卷 sac分类上颌窦底提升的临床
图片尺寸800x800
种植牙不仅是老年人的福利也是年轻人的福音
图片尺寸500x281
种植牙是如何种植的_牙根
图片尺寸350x249
种植牙,你必须知道的事儿!_进行_牙齿_手术
图片尺寸1200x970
这8条种植牙的利与弊帮你抉择更适合镶牙还是种牙
图片尺寸500x229
种植牙
图片尺寸600x450
为什么全世界牙医一致推荐种植牙这才是真正原因
图片尺寸479x359
2021厦门种植牙价格表更新!
图片尺寸450x400
全口牙种植效果怎么样
图片尺寸418x562
种植牙的详细过程,做种植牙的人最想问的几个问题,牙医为你揭秘
图片尺寸1200x689
林宝山医生关于种植牙的对话
图片尺寸4032x3016