牙窟窿臭味

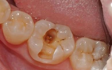
牙齿烂个洞图
图片尺寸750x500
过来人爆料补牙都是坑人是真是假?
图片尺寸400x313
牙窟窿问题.
图片尺寸916x681
牙洞我来补修复牙洞蛀牙龋齿牙齿松动固齿买21除菌去异味120天超长
图片尺寸720x821
天天刷牙还口臭到没朋友,可能是它作怪!后悔才知道!
图片尺寸569x407
有个小洞的感觉,而且里面很臭 每次剔牙得时候都有一种恶臭味
图片尺寸1200x1600
牙齿烂个洞有臭味怎么办
图片尺寸390x244
拔智齿后那个洞臭到恶心,牙齿牙洞神经烂了(附窟窿恢复图)
图片尺寸595x375
牙齿上的沟槽为什麼会那麼臭?每个人都要面对的难题
图片尺寸640x442
一张嘴就很臭牙齿全是"黄泥",咋回事?教你一招,远离口臭
图片尺寸640x427
一般80%左右的口臭是口腔的原因,比如口内有龋齿,残根,残冠,牙周炎
图片尺寸640x441
满口牙结石又臭又硬 牙医:学会1个小妙招 口臭,牙垢不见了 - 健康百科
图片尺寸500x314
拔完智齿以后有牙洞,你们有吗?
图片尺寸960x960
牙后面那个白的是什么东西?还有黑的是个洞还是线头啊? 拔了智齿
图片尺寸600x1064
拔智齿臭味多久会好(拔智齿后嘴里恶臭是什么情况?
图片尺寸415x270
牙齿缝里抠出的黄色物质到底是什么?为啥那么臭
图片尺寸511x383
牙齿发黑发臭太尴尬?过来人随便支你几招,牙石,烟渍几天就能掉!
图片尺寸1000x625
大牙烂了个窟窿神经疼怎么办牙神经痛会自己好吗
图片尺寸400x267
牙有个大窟窿疼怎么办
图片尺寸640x359
牙齿上的沟槽为什麼会那麼臭?每个人都要面对的难题
图片尺寸640x890