牙缝宽

牙缝太大
图片尺寸1080x561
我的牙缝很大能补吗
图片尺寸512x628
牙缝变大
图片尺寸1080x687
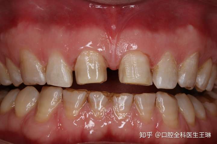
牙缝太大,吃东西塞牙,说话漏风,怎么破?
图片尺寸893x555
07 牙缝宽的坏处.第一:不美观 第二:面部风水问题,漏财, - 抖音
图片尺寸1920x1080
门牙牙缝越来越宽怎么办
图片尺寸390x260
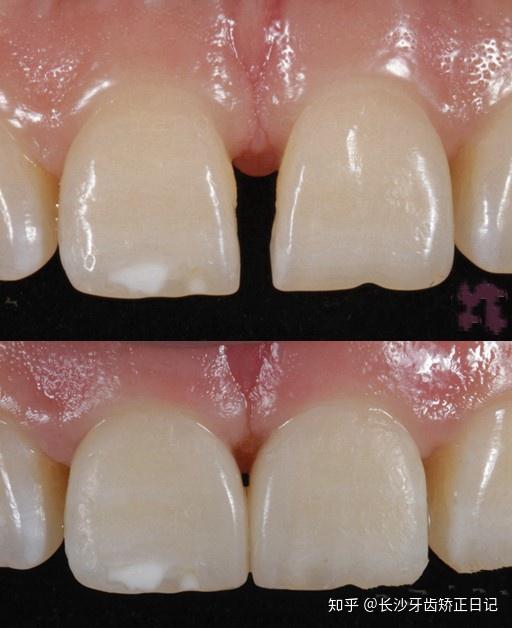
牙缝大怎么纠正
图片尺寸1080x2337
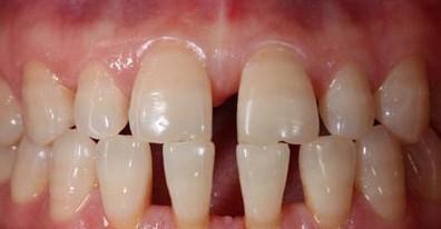
牙缝超大,不知缺不缺牙,请问要戴牙套还是烤瓷牙呢?
图片尺寸480x640
为什么牙缝越来越大?究竟是谁的错?
图片尺寸802x581
牙缝变宽是缺钙了?
图片尺寸396x206
以前不觉得牙缝宽有什么问题,现在一对比,还是整齐的_圈子-新氧美容
图片尺寸1712x1284
下牙缝太宽30岁了整牙需要多久多少钱
图片尺寸1080x1437
牙缝大的原因
图片尺寸2380x1785
牙缝宽大的原因和解决办法有哪些矫正和瓷贴面效果好吗
图片尺寸633x381
门牙牙缝比较奇葩
图片尺寸500x666
牙缝为什么会越来越大 牙缝为什么会越来越大了怎么办
图片尺寸768x1024
玉山牙缝过大矫正的费用是多少
图片尺寸525x202
牙缝宽大需警惕别让自己变成漏财牙
图片尺寸5472x3648
牙缝变宽
图片尺寸468x600
牙缝大.去牙科能搞好吗,要花多少钱,大概多久治好
图片尺寸375x500