牙缝龋齿

龋齿(蛀牙)对于这种情况引起的牙缝间黑,只需要你定期洗去口腔医院
图片尺寸444x240
有种常见病,照照镜子就能发现,越早治越省钱!
图片尺寸900x500
【病例分享】前牙邻面龋的治疗技巧_手机搜狐网
图片尺寸640x401
牙缝发黑,是龋齿还是色素沉着?
图片尺寸640x446
uus门牙中间有一条黑缝 这是蛀牙了吗(更新)
图片尺寸1080x607
牙缝中间龋齿应该怎么处理呢?
图片尺寸490x353
孩子由于生长发育会形成正常的乳牙生理间隙,就是牙齿之间会出现牙缝
图片尺寸800x524
算是后续吧 关于黑掉的牙缝算不算蛀牙 最近有事回家刚好找阿姨看了
图片尺寸960x1280
牙齿缝隙发黑 还有一颗好像少了一块 是蛀牙吗?
图片尺寸802x1061
牙缝中间龋齿应该怎么处理呢?
图片尺寸600x450
门牙龋齿怎么补图片
图片尺寸751x500
深圳罗湖门牙邻面龋补牙多少钱
图片尺寸462x193
什么是蛀牙图片 什么是蛀牙图片小孩
图片尺寸500x667
求助 门牙缝这个是临面龋吗
图片尺寸1080x684
牙缝清洁没做好,你的牙齿很有可能会.
图片尺寸1000x750
牙缝中间龋齿应该怎么处理呢?
图片尺寸1080x810
儿童蛀牙图片58
图片尺寸514x360
图片2_meitu_2.jpg
图片尺寸376x345
突然发现自己门牙蛀牙了,怎么办,应该怎么治理,需要切吗
图片尺寸978x619
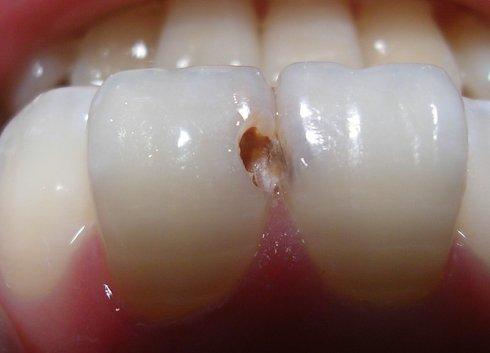
牙缝变大,颜色变深,牙缝一侧有一小坑
图片尺寸640x363