牙肉瘤是什么症状图片

牙龈瘤
图片尺寸448x452
牙齿刷不干净,还会长瘤子?
图片尺寸608x381
拔牙后一个月长这种红色肉瘤正常吗?
图片尺寸1053x839
牙没刷干净,牙龈长"瘤"子了?_谭大姐
图片尺寸1080x578
上颌左侧牙瘤
图片尺寸3000x2000
牙龈瘤
图片尺寸415x347
妊娠期牙龈瘤的症状图
图片尺寸500x332
怀孕3个月牙龈上长出个肉瘤 先手术还是先生宝宝?
图片尺寸553x319
牙齿刷不干净,还会长瘤子?
图片尺寸400x429
牙瘤
图片尺寸500x348
药物性牙龈增生伴牙龈瘤一例
图片尺寸560x420
上颌骨牙瘤1例
图片尺寸3017x2225
牙龈瘤
图片尺寸404x306
牙龈上长了个肉疙瘩是怎么回事牙龈长了个红色肉疙瘩
图片尺寸824x531
牙龈瘤
图片尺寸447x400
怀孕35周了后牙刚开始疼的要命,过了一晚上长了个肉瘤怎么办呢?
图片尺寸720x960
好好的牙,一怀孕就痛了?孕期看牙医指南
图片尺寸640x554
什么是牙龈瘤?
图片尺寸720x354
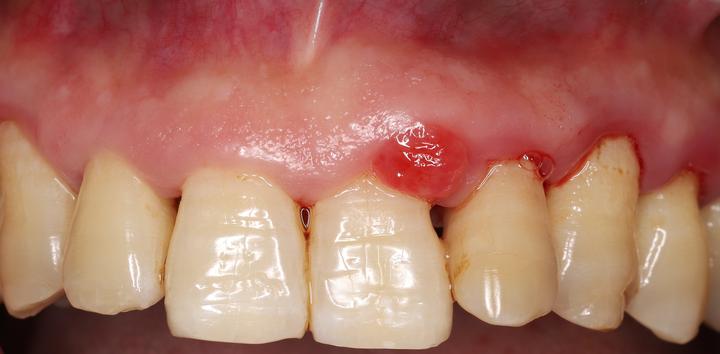
牙龈瘤
图片尺寸710x400
牙龈瘤微创摘除3例
图片尺寸400x291