牙脱位

牙脱位
图片尺寸1920x980
完全脱位牙的再植台州牙医洪雁
图片尺寸600x422
牙脱位
图片尺寸724x475
手术复位图牙脱位要怎么办及时找到完全脱落的牙齿后,迅速用流水冲
图片尺寸1080x628
10龄童意外磕断门牙牙根骨下盲接让牙齿起死回生
图片尺寸630x417
1.牙外伤类型复杂,其中恒牙中牙折最常见,而牙脱位常见于
图片尺寸431x353
孩子摔断的牙齿可以接回去的75家长必看02
图片尺寸850x1132
局麻与全麻的抉择微创无痛拔除上颌腭部埋伏多生牙
图片尺寸640x453
牙脱位表现为牙齿脱离牙槽窝,可伴随疼痛,出血,牙龈撕裂,咬合干扰等
图片尺寸1330x414
牙齿脱位了有什么伤害
图片尺寸600x338
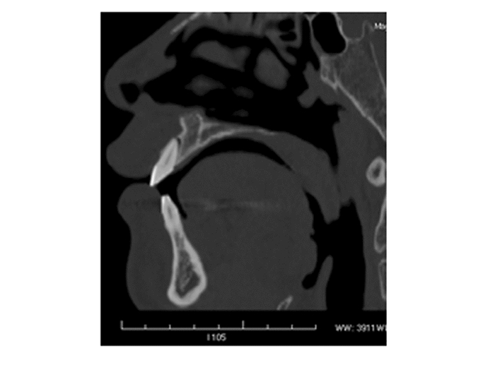
创伤性恒切牙不全脱位口腔全景和ct表现对比分析
图片尺寸700x392
8岁男孩踢球撞伤 门牙脱位怎么急救?
图片尺寸1080x607
脱出性脱位的牙齿,若是部分脱出,可发现患牙比正常相邻牙齿明显长一截
图片尺寸701x435
牙折与牙脱位
图片尺寸708x518
牙齿脱位怎么办?萌萌哒漫画告诉你
图片尺寸800x753
尤其是好动的儿童和年轻人,牙外伤更是屡见不鲜,根据流行病学调查结果
图片尺寸640x622
牙脱位
图片尺寸89x158
牙痛牙折断牙脱位的应急处理法
图片尺寸1080x1439
完全牙脱位该如何复位
图片尺寸682x179
创伤性恒切牙不全脱位口腔全景和ct表现对比分析
图片尺寸700x517