牙贴面

灵魂作品#全瓷贴面 #牙齿美白 #美牙贴面 #全瓷贴片 #海 - 抖音
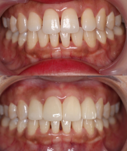
图片尺寸1080x1440
刚更新的广州瑞德口腔e-max铸瓷贴面价目表及优势_口腔医院报价价格表
图片尺寸496x900
1 / 6 牙贴面 美牙 全瓷贴面 牙齿美白???_圈子-新氧美容整形
图片尺寸570x507
100分笑容之牙贴面🦷看到明星网红笑起来露出一口整_圈子-新氧美容
图片尺寸961x1280
牙齿贴面的材料应该怎么选?1️⃣什么是牙齿贴面牙齿_圈子-新氧美
图片尺寸570x570
这个牙贴面近乎完美贴合我的牙齿!相信大家一定都有,_圈子-新氧美容整
图片尺寸418x495
带你揭秘蓝瓷牙贴面多少钱一颗,质量怎么样?文中含价格表_"牙舒丽网发
图片尺寸432x625
牙齿美白中的牙贴面有什么优势?哪些人比较适合做牙齿贴面?
图片尺寸1024x640
美加超薄美牙贴面
图片尺寸640x863
牙贴面要把牙齿磨小吗?要磨多厚的牙齿呢?有很多顾客_圈子-新氧美容整
图片尺寸2000x3000
牙贴面影响正常的牙吗?网友说建议门牙千万不要做贴面是真的吗?戳这里
图片尺寸614x680
义获嘉emax瓷贴面优缺点解析,它和美加牙贴面的区别大吗?-口腔医院新
图片尺寸469x596
六颗牙1w5的琥珀瓷贴面,还可吗???_磨牙_美牙_瓷贴面_美妆_医美整形
图片尺寸900x1200
牙齿贴面的那些事,你都知道吗?
图片尺寸570x371
青你选手是不是组团动牙了呀?一笑起来全暴露!_手机搜狐网
图片尺寸640x640
超薄全瓷贴面欣赏_美牙_牙齿贴面_通透感_全瓷贴面_美妆_医美整形
图片尺寸1080x1080
广州,深圳,佛山牙齿贴面价格,医院选择,2022年超全最新攻略! - 知乎
图片尺寸1190x799
牙贴面 超瓷贴面 牙齿美白完成✅南京来的宝宝 说我_圈子-新氧美容
图片尺寸570x570
牙齿酸痛的原因和治疗方法?-韩国牙齿整形美容医院minish牙科-韩国牙
图片尺寸1200x900
啥?牙缝隙太大,来个全瓷贴面吧_牙齿_网络_患者
图片尺寸964x951