牙颌

12岁前应该处理的20种儿童牙颌畸形
图片尺寸640x505
无牙颌解刨标志及分区.#口腔医生 #执业医师考试 #口腔医学 - 抖音
图片尺寸719x615
什么是牙颌畸形
图片尺寸1080x532
听allon403技术的发明人讲述无牙颌的整体解决方案
图片尺寸3545x1788
三,牙颌畸形的治疗方法
图片尺寸896x512
发现即矫正12岁前必须处理的12种儿童牙颌畸形
图片尺寸640x396
全口无牙颌解剖标志的识别ppt
图片尺寸1080x810
医院快讯牙都掉光了还能啃苹果无牙颌患者的福音来啦
图片尺寸690x557
隐适美_牙颌畸形 - 好大夫在线
图片尺寸800x470
牙颌畸形
图片尺寸692x443
谈谈将牙齿磨小进行矫正_牙颌畸形_用药_治疗方式 - 好大夫在线
图片尺寸2158x1521
容易造成牙颌!
图片尺寸640x391
牙颌畸形_牙颌畸形疾病介绍 - 好大夫在线
图片尺寸1193x758
牙颌畸形_牙颌畸形就诊指南 - 好大夫在线
图片尺寸1600x1066
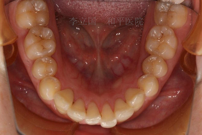
下颌牙颌
图片尺寸1100x1100
发现即需矫正12岁前必须处理的20种儿童牙颌畸形
图片尺寸690x447
牙颌畸形
图片尺寸342x495
"小虎牙"的矫正_牙颌畸形_症状表现_治疗方式 - 好大夫在线
图片尺寸1280x720
龅牙妹的华丽变身_牙颌畸形_治疗方法_ - 好大夫在线
图片尺寸665x444
下颌牙颌
图片尺寸1100x1100