牙骨岛

一例罕见的病例
图片尺寸509x313
【求助】左下3,4根尖区有骨岛,患者需要正畸治疗,该如果解决骨岛的
图片尺寸639x386
种植遇到骨岛怎么办
图片尺寸640x335
【求助】左下3,4根尖区有骨岛,患者需要正畸治疗,该如果解决骨岛的
图片尺寸639x386
17y 因前牙开颌寻求正畸治疗,但是在曲断上发现左下3,4根尖区有骨岛
图片尺寸1475x891
颊舌向宽度约7-8mm,骨质正常,无疏松影,35根尖远中见一"骨岛"影像
图片尺寸1080x488
骨岛.png
图片尺寸703x449
桥体后缺牙区行种植牙修复,植入位点有高密度影,怀疑残留牙根或骨岛
图片尺寸1080x1439
颊舌向宽度约7-8mm,骨质正常,无疏松影,35根尖远中见一"骨岛"影像
图片尺寸1040x793
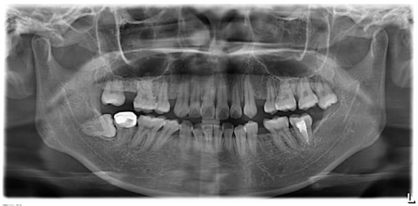
全景片上牙根平行度还不错,患者右下的骨岛可以看出下颌是中度支抗
图片尺寸1080x614
种植遇到骨岛怎么办
图片尺寸640x509
深刻剖析美亚光电三种视野的口腔cbct
图片尺寸1080x565
颊舌向宽度约7-8mm,骨质正常,无疏松影,35根尖远中见一"骨岛"影像
图片尺寸1080x786
骨岛种植要注意
图片尺寸1147x944
骨岛是啥玩样儿
图片尺寸1074x550
全景扫描最酷海岛(图)
图片尺寸800x598
老板们 请问下这个是骨岛还是骨瘤 影响正畸吗
图片尺寸4032x2016
一生去一次足矣 全球最不可思议村落
图片尺寸962x979
种植遇到骨岛怎么办
图片尺寸619x390
超级详细牙片详解手把手教你看懂牙片
图片尺寸608x300