牙髓炎疼痛难忍怎么办

烂牙痛怎么快速止痛大全doc
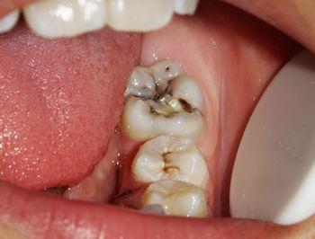
图片尺寸800x1132
牙髓病会因炎性渗出物的刺激,造成疼痛特别剧烈,需及时进行治疗_东方
图片尺寸640x426
1,如果是牙髓炎引起的智齿牙痛,可以直接把牙齿拔掉,可以快速缓解疼痛
图片尺寸400x300
导致牙髓组织发炎,产生自发性,阵发性剧痛,尤其晚上睡觉时疼痛难忍
图片尺寸554x299
牙髓炎多么痛的领悟
图片尺寸490x640
原来根据疼痛就能自查龋齿还是牙髓炎
图片尺寸600x799
牙髓炎的预防:五步走,让你轻松维护口腔健康
图片尺寸640x718
急性牙髓炎# 吃止疼药可以缓解急性牙髓炎. 来自西安杨睿 - 微博
图片尺寸400x382
牙髓炎3分钟缓解疼痛办法吃布洛芬含冷水都可以暂缓疼痛
图片尺寸780x485
一般牙齿疼痛都是因为牙髓炎.「牙髓炎」,又经常被人称为牙神经发炎.
图片尺寸641x303
牙髓炎可以自愈吗?
图片尺寸640x330
锋范口腔疼到无法入睡的牙髓炎怎么办
图片尺寸1080x775
牙髓炎3分钟缓解疼痛办法吃布洛芬含冷水都可以暂缓疼痛
图片尺寸610x488
疼到坐立难安的牙髓炎,我们拿它怎么办?
图片尺寸640x353
牙齿剧烈疼痛可能是牙髓炎需要及时治疗
图片尺寸640x416
牙髓炎引起的疼痛有什么特点?
图片尺寸350x266
牙髓炎3分钟自愈方法缓解疼痛:松动牙齿或许会拔掉 - 牙科治疗 - 开立
图片尺寸727x479
治疗牙痛的小妙招 牙痛一般由牙髓炎引起的
图片尺寸269x275
急性牙髓炎是指牙髓组织的急性炎症,属于不可复性牙髓炎,发病急,疼痛
图片尺寸1005x669
牙髓炎属于几级疼痛?判断牙髓炎很可靠的检查方法点击本文查看
图片尺寸600x355