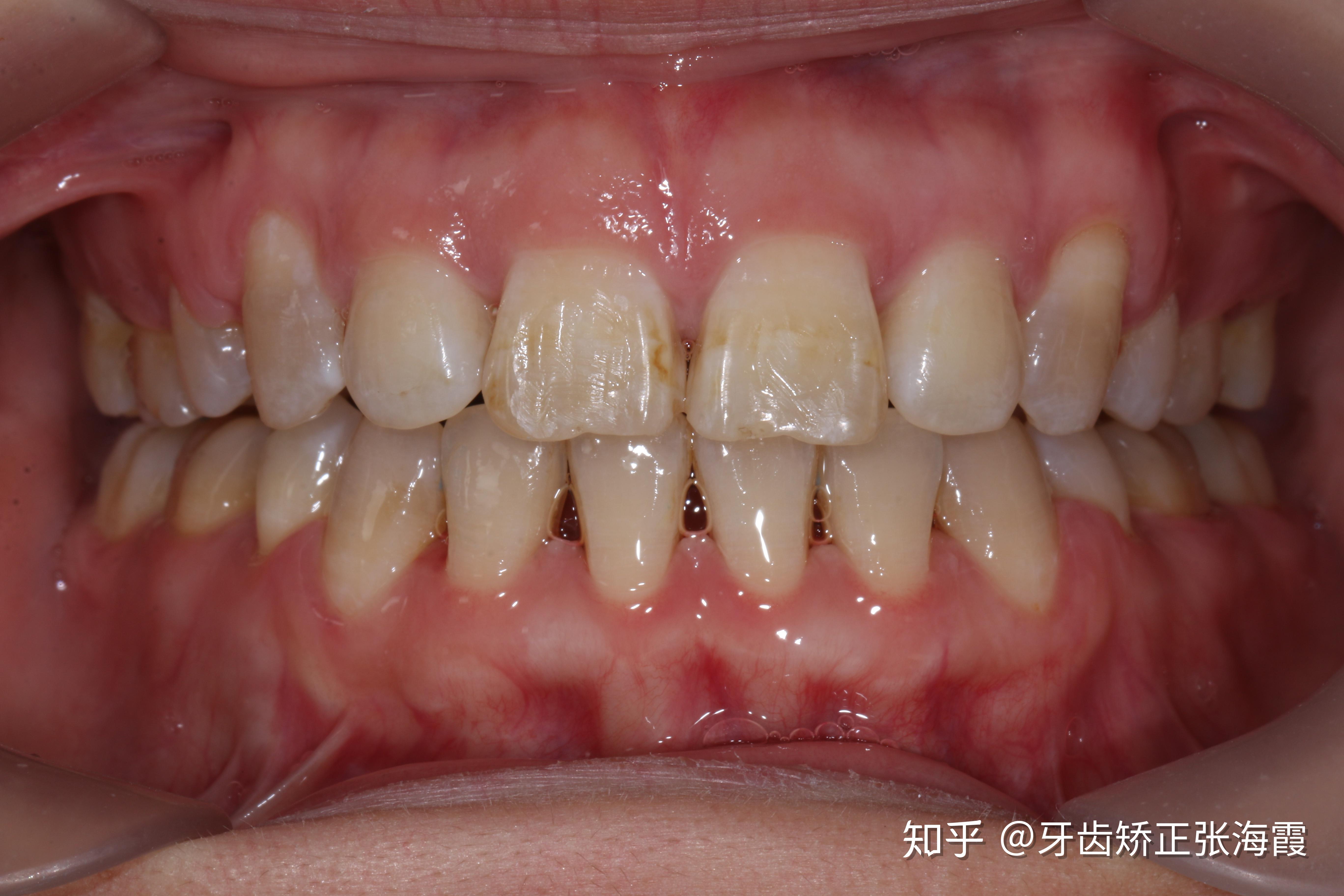
牙齿三角区牙肉分离

牙齿和牙龈肉分开了.有时候用硬一点的牙刷刷牙会出血.但是牙不疼啊.
图片尺寸816x460
牙齿矫正的副作用——黑三角_牙龈
图片尺寸880x496
口腔科普揭秘传说中的牙齿黑三角
图片尺寸1651x1158
昨天刚发现靠后面的下排牙齿牙龈部位的牙肉突出了,请问该怎么处理呢
图片尺寸733x559
牙齿矫正中你最关心的问题之黑三角篇赛德
图片尺寸1043x690
在下排最后一个牙齿后面,生了一个类似牙齿的那是什么来的好几天了
图片尺寸330x222
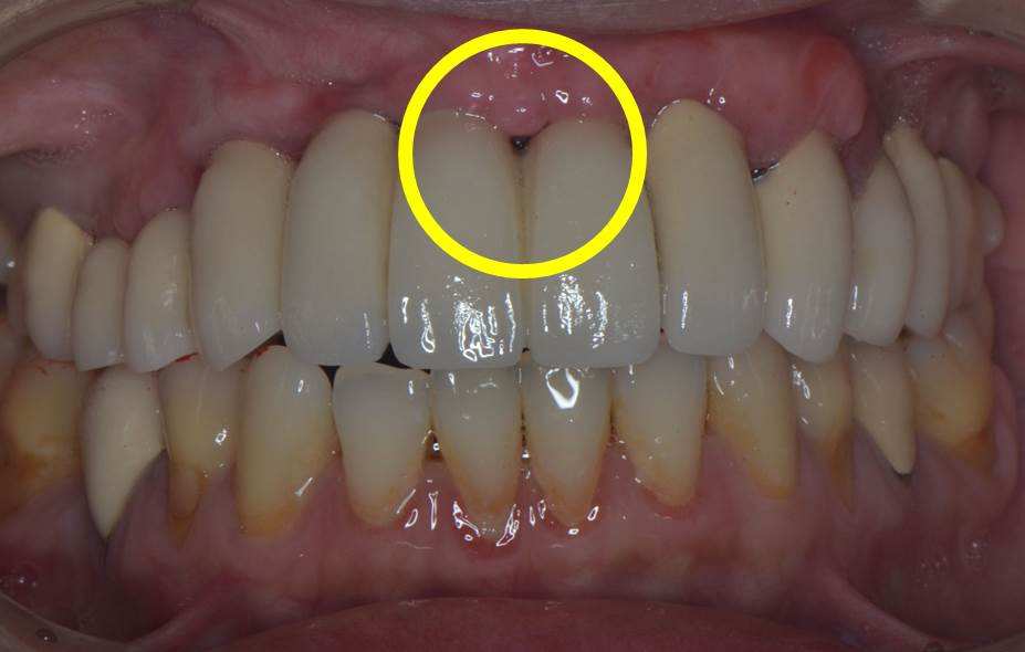
从而暴露出牙齿相邻处的黑色缝隙,称为"黑三角",又称"开放性牙龈楔状
图片尺寸1080x720
牙齿里边的软肉肿大
图片尺寸500x500
前边上侧牙齿间张块肉,一年了,不疼,牙完
图片尺寸355x432
牙齿矫正中你最关心的问题之黑三角篇赛德
图片尺寸972x493
【大牙后面的牙肉溃烂】牙齿后面牙肉又肿又痛如何?
图片尺寸500x315
我的牙龈前一段时间上长了一个倒三角形的一块肉然后呢我这个人有个舔
图片尺寸480x640
牙间黑三角问题探索
图片尺寸678x706
【坑人】整牙整出了"黑三角"!你还敢做吗?
图片尺寸488x364
牙齿矫正了以后有了黑三角怎么办求助
图片尺寸5472x3648
牙齿出现黑三角怎么办,我该何去何从?
图片尺寸900x900
牙齿黑三角怎么补救牙齿黑三角修复需要多少钱
图片尺寸600x351
小时候不怎么刷牙,现在牙石很多重点下排牙齿四个牙肉都离开牙齿了,有
图片尺寸592x1052
牙齿矫正后出现黑三角的原因及解决方法_抛光
图片尺寸620x455
牙齿出现黑三角是怎么回事?有办法让它消失么?
图片尺寸927x590