牙齿上下牙标准咬合图

请看标准的牙齿咬合图片
图片尺寸496x324
正常的咬合就是上,下颚的牙齿之间接触位置正确,并可以良好执行咀嚼
图片尺寸690x1294
标准的牙齿咬合图片
图片尺寸612x850
上下大牙咬合不正医生建议使用扩弓器先扩上牙再用上牙牵引下牙这个
图片尺寸634x422
什么是标准的牙齿咬合标准牙齿咬合图片
图片尺寸554x299
正常标准的牙齿咬合图
图片尺寸600x345
前牙正常覆盖是多少什么是正常的咬合
图片尺寸720x564
第2步:咬紧牙,看咬合牙齿中线也是测试牙齿整齐程度的参考指标.
图片尺寸1000x500
你们的牙齿咬合是这样的吗?
图片尺寸1080x810
上下大牙咬合不正医生建议使用扩弓器先扩上牙再用上牙牵引下牙这个
图片尺寸563x363
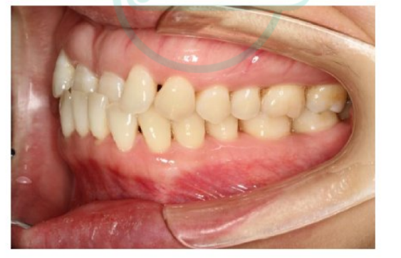
右侧后牙咬合 右侧上下颌第五第六颗牙齿兜齿
图片尺寸600x398
来广州彦博口腔主要是矫正上下排牙齿咬合不齐导致的嘴歪
图片尺寸600x391
容易引起龋齿等牙周问题,很有牙齿不齐的患者上下咬合关系不好,还会
图片尺寸681x362
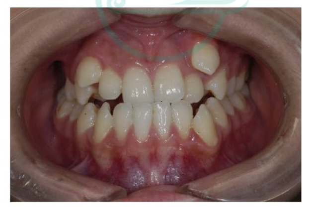
上下牙齿中线不对齐所致的咬合不齐,下牙前突,右侧上下第二颗前牙反
图片尺寸1000x668
什么是牙齿咬合不齐?咬合问题,自侧一下吧!
图片尺寸690x703
上牙牙齿有扭转,上牙有点突,想要矫正都是需要做上下颌的!
图片尺寸1284x1712
儿童咬合畸形
图片尺寸480x300
就像磨盘一样上下相互嵌合,达到最大最稳定的"密不透风"的咬合接触
图片尺寸868x452
什么是标准的牙齿咬合标准牙齿咬合图片
图片尺寸529x360
牙合颌位尖窝交错咬合牙齿尖窝相对图片上下颚骨咬合正确位置尖窝交错
图片尺寸480x480