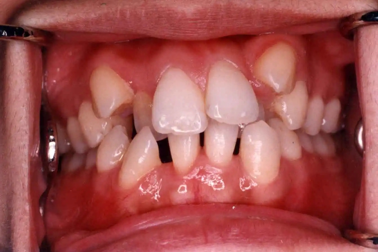
牙齿上下牙错位咬合图

测一测!常见需要牙齿矫正的9种情况
图片尺寸690x920
微笑计划##青年口腔医生进阶计划##深覆合##深覆盖##深覆合矫正
图片尺寸690x922
牙齿矫正带来的不仅是牙齿的排整齐…… 更多的是咬合的改善与平衡
图片尺寸1920x1708
牙齿上下牙错位咬合图
图片尺寸931x1084
牙齿上下牙错位咬合图
图片尺寸375x500
案例分享重度-交错咬合,牙齿拥挤和深覆合案例分享16个月治疗时间
图片尺寸1080x1079
家长如何判断孩子牙齿是否需要早矫71
图片尺寸1920x2560
牙齿间隙造成的咬合不稳,面型微凸 - 知乎
图片尺寸4961x4167
从很小的时候就发现了咬合时下面的三颗牙齿在上牙外,查找了很多 - 抖
图片尺寸1136x875
可表现为牙列拥挤,左右牙弓不对称,常常伴有牙错位,咬合关系不佳等
图片尺寸750x500
牙齿上下牙错位咬合图
图片尺寸3216x2136
上牙和下牙正确咬合图 - 抖音
图片尺寸1080x1920
但对于伴有个别牙反颌,影响咬合及颌骨发育的错位牙,可进行简单
图片尺寸464x619
孩子的牙齿,如果出现这种情况,以后可能会变丑(不是地包天
图片尺寸1080x427
牙齿不齐,颊侧错位无法咬合,三个月后回正
图片尺寸600x890
牙齿矫正##早期矫正##错颌畸形的矫治方法##兰州专业口腔##惠安齿科
图片尺寸690x1035
牙列拥挤,不齐会造成牙齿错位,错位的牙齿可因咬合异常而影响牙周组织
图片尺寸792x833
邢台知名正畸专家王振莉谈:对刃颌的矫正必要性及潜在危害_牙齿_咬合
图片尺寸1890x1843
牙齿上下牙标准咬合图 良好的牙齿咬合不仅关乎口腔健康,更影响着
图片尺寸900x1200
刚出来工作的女孩子,觉得咬合不好,地包天,每次吃东西都不知道怎么咬
图片尺寸690x920