牙齿内侧牙结石

这是牙结石吗牙齿内侧掉了一块今天刷完牙才感觉到也不疼
图片尺寸500x457
牙齿内侧脱落一块是什么情况?
图片尺寸338x600
才用不到一个多月,刷的时候掉了好几次这种牙结石,牙齿对比白很多
图片尺寸960x1280
牙结石真相大揭秘:不可忽视的口腔健康隐患_影响_牙齿_治疗
图片尺寸1980x1570
牙齿内侧根部掉了一块,该怎么办?
图片尺寸500x888
牙结石不处理可以吗?过来人无偿解惑分享!有牙石的赶紧码住!
图片尺寸640x393
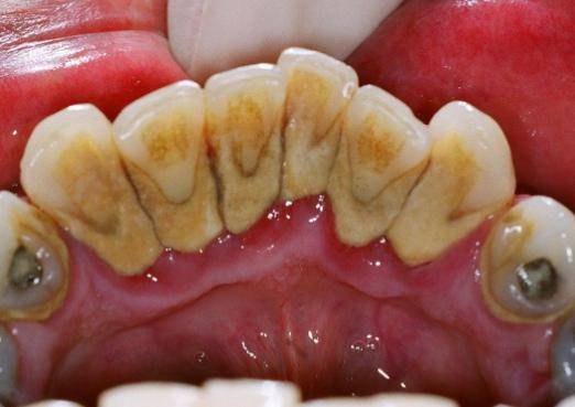
问:发现牙齿内侧有许多黄色的固体 还有点发黑,以前一直没注意,今天一
图片尺寸720x960
这是在牙齿内侧撬出来的 是不是牙石啊
图片尺寸1200x1600
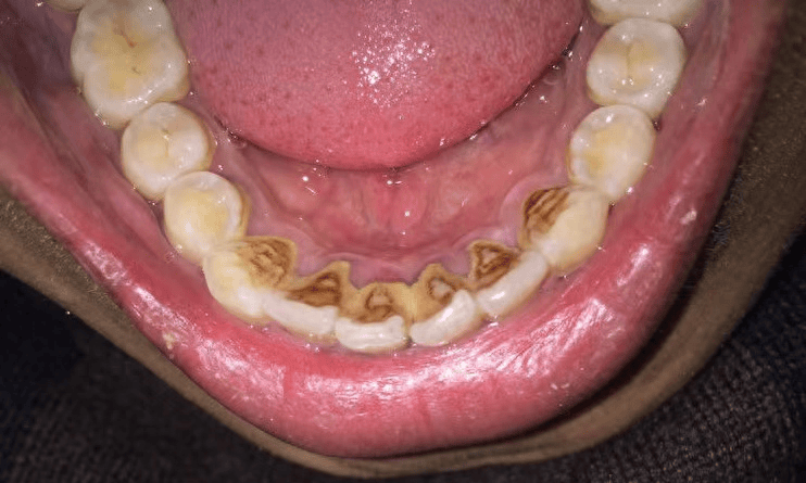
牙齿内侧黄黄的脏东西怎么去除?
图片尺寸500x320
牙结石又黄又厚?不用洗牙牙石刷刷掉,过来人无偿分享实战经验!
图片尺寸660x440
多年不洗牙,牙结石堆成钟乳石!是时候放下对洗牙的偏见了!
图片尺寸690x634
多年不洗牙,牙结石堆成钟乳石!是时候放下对洗牙的偏见了!
图片尺寸690x630
牙结石用什么好, 牙齿内侧的牙结石有什么方法可以去除?
图片尺寸1920x1080
长了牙结石千万别抠!用对3个方法,牙石直接哗哗哗全掉!
图片尺寸960x628
多年不洗牙,牙结石堆成钟乳石!是时候放下对洗牙的偏见了!
图片尺寸690x650
牙结石唰唰唰全掉,真后悔没早点知道!_牙粉_牙齿_效果
图片尺寸742x445
牙结石又黄又臭如何清除?掌握这三个方法,牙石成片脱落!
图片尺寸750x422
牙结石长什么样
图片尺寸3024x3024
牙齿发黄有牙结石?这件小事每天做,不用洗牙,牙垢牙石自己掉!
图片尺寸1080x675
牙齿内侧黄黄的脏东西,这样就可以轻松祛除!
图片尺寸522x369