牙齿内扣有必要矫正吗

从小牙齿内扣,但不是龅牙就没当一回事,昨天鼓起勇气_圈子-新氧美容
图片尺寸570x760
你喜欢上牙直立还是内扣?#精致女人 #牙齿#牙齿矫正 #治愈 - 抖音
图片尺寸1284x1203
牙齿内扣有必要矫正吗?只要是影响咬合关系还是要矫正!
图片尺寸400x400
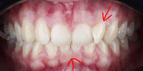
像这种牙齿内扣,矫正后效果如何呢?下巴也是有点向上翘,能得到改善吗?
图片尺寸1500x1500
牙齿内扣有必要矫正吗?只要是影响咬合关系还是要矫正!
图片尺寸400x400
有牙齿内扣的姐妹们吗调转距你们都用啥调
图片尺寸1080x811
牙齿内扣有必要矫正吗?只要是影响咬合关系还是要矫正!
图片尺寸400x192
牙齿内扣露龈笑的矫正过程
图片尺寸1080x675
像这种牙齿内扣,矫正后效果如何呢?下巴也是有点向上翘,能得到改善吗?
图片尺寸1500x1500
正畸后期牙齿内扣
图片尺寸720x734
我发现牙齿往内扣,笑起来不露牙真的好显老,矫正的话_圈子-新氧美容
图片尺寸1284x1712
正畸后期牙齿内扣
图片尺寸720x521
从小牙齿内扣,但不是龅牙就没当一回事,昨天鼓起勇气_圈子-新氧美容
图片尺寸570x760
广州整牙|缺失牙,前牙内扣,14个月时间实现笑容质变!
图片尺寸2700x3600
牙齿内扣有必要矫正吗?只要是影响咬合关系还是要矫正!
图片尺寸500x249
mrc矫治,让宝宝赢在起跑线上_牙齿
图片尺寸788x466
原先的两颗门牙会优点内扣,笑起来能明显感觉到内凹不_圈子-新氧美容
图片尺寸1712x1284
牙齿内扣看不到下牙,没有拔牙利用扩弓排齐
图片尺寸1080x1440
门牙内扣矫正需要多久还是瓷贴面也可以解决
图片尺寸2160x2874
说时间长了会影响下面的牙齿往内扣的,我个人觉得矫正需要时间长,小
图片尺寸1080x1437