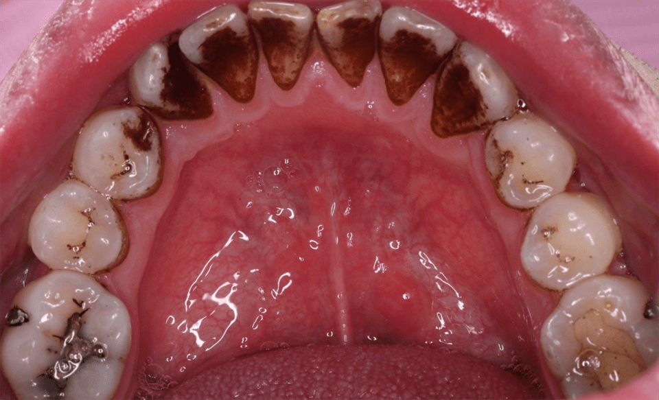
牙齿发臭

一张嘴就很臭牙齿全是"黄泥",咋回事?教你一招,远离口臭
图片尺寸640x427
牙齿这样子是怎么回事,还有点疼
图片尺寸864x1152
长期抽烟牙齿又黄又臭怎么办学会这招不花钱洗牙就能让牙变白
图片尺寸576x324
牙医遇见最烂的牙齿到底有多烂
图片尺寸610x408
大黄牙又脏又臭怎么办?过来人无偿分享居家白牙妙招,黄牙瞬间靓白!
图片尺寸988x618
5年牙结石口臭随便喷喷就没了?康复者自用去臭方法分享,赶紧学!
图片尺寸1408x880
牙齿烂到根本停不下来怎么办
图片尺寸363x527
为什么牙齿容易烂?
图片尺寸640x468
牙齿里面有黑垢怎么办,牙齿缝隙有黑色东西(学一招牙垢自己掉)
图片尺寸581x410
教你一招还你大白牙
图片尺寸415x265
难看的牙齿
图片尺寸800x519
多年吸烟牙又黑又臭?过来人教你不戒烟在家白牙法,省钱还简单!
图片尺寸960x600
牙齿发黑洗牙可以去除吗
图片尺寸337x240
牙医碰见最烂的牙齿到底有多烂
图片尺寸640x426
为什么从牙齿上抠出来的东西很臭,而在嘴巴里自己却闻不到?
图片尺寸1112x742
牙齿_朋友_方法
图片尺寸960x583
你的牙齿有多脏,血糖就多高!
图片尺寸600x450
四岁多孩子的牙齿,从一岁多起牙齿就越来越细,家长还一直以为孩子是
图片尺寸500x333
牙齿上的烟渍又脏又臭?教你一招,几十年的烟渍牙也能清除干净!
图片尺寸2000x1164
牙齿发黄,有刷不掉的黑渍,也有牙结石口臭,怎么办.
图片尺寸500x667