牙齿发青

小孩掉牙处牙龈发青牙齿掉了大半年未长牙谢谢解答
图片尺寸768x1024
宝宝牙龈变成青色的了是怎么回事?
图片尺寸768x1024
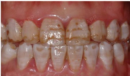
请问下这样的牙齿是怎么了,是什么原因,要怎么治?
图片尺寸960x960
刚做好钯金烤齿牙牙龈发青
图片尺寸800x1422
看图识病 | 这个宝宝牙齿变绿了,你怎么看?_丁香园
图片尺寸800x267
我牙龈发紫,已经有好几年了,请问这是怎么回事,怎么治?
图片尺寸375x500
牙齿变色怎么办!——什么是烤瓷贴面 - 好大夫在线
图片尺寸720x480
发青
图片尺寸1932x2576
牙齿缺损的常见分类,你是哪种?浅谈牙齿缺损的美容修复!
图片尺寸452x267
此时摄入大量四环素会导致牙齿发育不良,颜色发青等问题
图片尺寸3999x2249
吃瓜要吃的明白,白牙也要白的认真尤其是女孩子,想要精致一点#牙齿也
图片尺寸1080x1439
楔状缺损之操作流程
图片尺寸620x465
牙齿真的是脸上第二个门面了一口炫白的牙齿真的很加分尤其是口红色号
图片尺寸1080x1439
门牙牙缝变黑,小心龋齿
图片尺寸1080x878
瓷质骨架,完全不含金属内冠,透明度好,可使修复体同健康牙齿浑然一体
图片尺寸376x349
干涩,有血丝,眼袋大眼皮沉;99皮肤:暗黄粗糙无光泽发白,发红发青
图片尺寸1080x1440
此时摄入大量四环素会导致牙齿发育不良,颜色发青等问题
图片尺寸3999x2249
性所以蛀了三四个(悔得肠子发青)但也是从初中开始 牙齿没在坏过一颗
图片尺寸1080x1439
刚给姐姐操作了一口冰瓷牙,姐姐本来的牙齿是发暗,发青,发灰的四环素
图片尺寸1080x1440
【健康科普】别再用小苏打美牙了!_牙齿
图片尺寸1000x900