牙齿和牙龈交界处空洞

牙洞真的别拖,佛山社卫康口腔补牙体验🦷
图片尺寸1242x1660
牙龈撑开一个洞牙洞图片牙齿有洞牙齿烂了一个洞很痛怎么办牙齿上有个
图片尺寸1200x1600
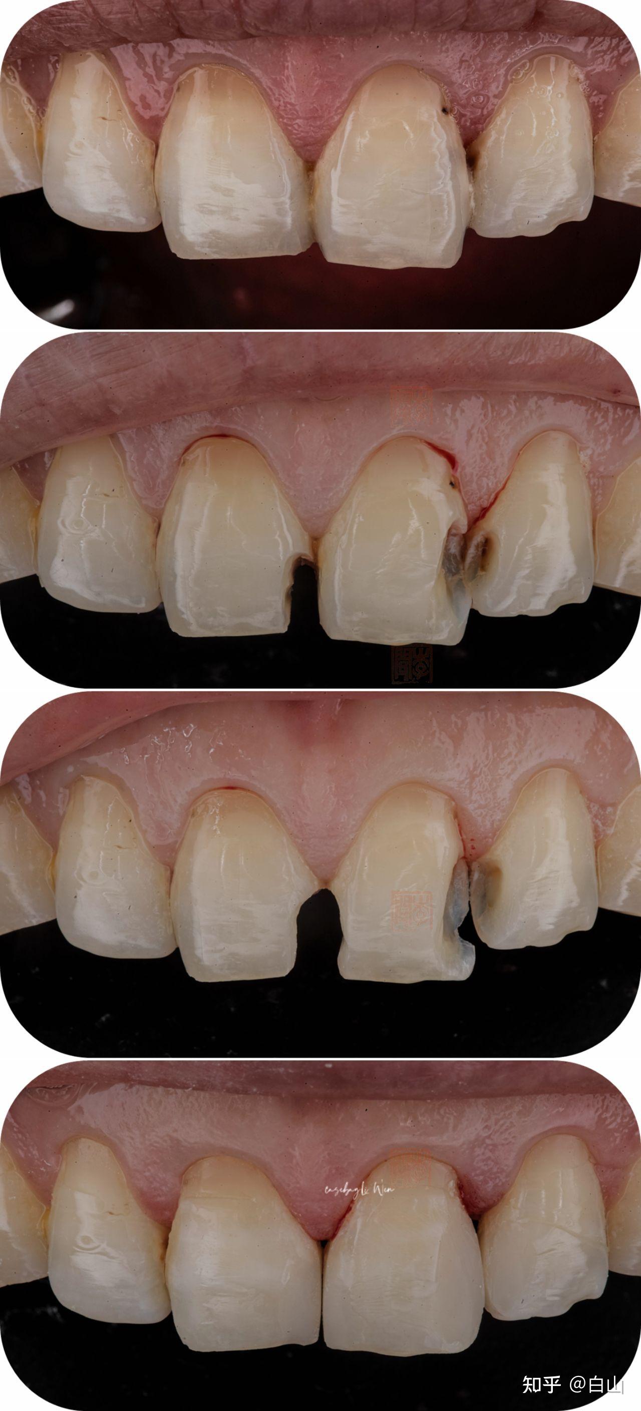
这是因为平时口腔清洁不够,细菌长期破坏牙齿硬组织造成的
图片尺寸829x825
牙齿上出现空洞需要先检查洞的大小,深度和根尖状况,再决定做充填
图片尺寸1109x1445
图片尺寸690x1247
牙齿空了洞疼痛怎么办
图片尺寸750x1000
前段时间吃花生米,发现会卡在牙上,我知道牙有洞了,需要补了
图片尺寸1440x1920
这篇文章说清楚了 当你对着镜子发现牙齿表面出现一个小黑洞,或许会心
图片尺寸1200x1600
牙齿空洞让微笑黯然失色,复合修复让他焕发新生!
图片尺寸1920x1080
家有萌宝的家长们,是不是在给宝宝刷牙的时候,突然发现宝宝的牙齿上
图片尺寸1200x1600
全瓷牙与牙龈间缝隙问题,需警惕蛀牙风险?
图片尺寸580x671
牙齿这样了,还有的救吗?
图片尺寸1280x960
补完牙牙缝中间还有个洞正常么?
图片尺寸1280x2817
医生,我牙齿之间上有个"洞"!
图片尺寸960x638
牙齿中间空了个大洞还冒出一块肉,最常见的是牙龈息肉,但也可能是
图片尺寸1074x1392
牙齿小黑洞背后的大问题:根管治疗的警示
图片尺寸800x1422
随牙齿上看着有个黑点或者有个小洞,只是吃冷的热的有点敏感,或者有点
图片尺寸1179x893
智齿蛀牙竟然烂空了一半,这种情况该如何处理?
图片尺寸1200x800
两颗恒牙受损,需及时修补保护. 所以,小朋友们要注意牙齿清洁
图片尺寸1080x1440
细菌会慢慢腐蚀牙齿,先损坏牙釉质,然后形成空洞
图片尺寸465x533