牙齿和牙龈分离图片

牙龈跟牙齿之间突然分开了 而且牙龈感觉越来越少 求解
图片尺寸480x640
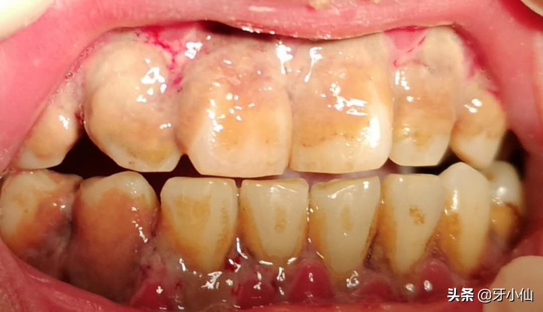
牙齿和牙龈肉分开了.有时候用硬一点的牙刷刷牙会出血.但是牙不疼啊.
图片尺寸816x460
乳牙 牙齿07受伤的第五天,牙龈渗血渗了近3天,不能吃硬的 - 抖音
图片尺寸1080x1920
牙齿和牙龈肉分开了.有时候用硬一点的牙刷刷牙会出血.但是牙不疼啊.
图片尺寸460x816
牙龈分离器 牙科口腔骨膜分离器种植翻瓣器康桥牙用分离器伟荣星齿
图片尺寸800x800
种植牙(即拔即种)什么是即拔即种?就是利用牙床自然留下的牙窝 - 抖音
图片尺寸992x1024
牙菌斑等长期堆积在牙缝之间,久而久之,牙龈红肿,口臭,牙齿松动,经过
图片尺寸428x600
我的牙齿是敏感牙还有牙周炎,刷牙的时候很容易牙龈 - 抖音
图片尺寸1080x1346
一年来的牙齿蜕变,期间经历过牙龈 - 抖音
图片尺寸720x960
会遗传的牙龈增生–––遗传性牙龈纤维瘤病
图片尺寸1000x562
正在矫正牙齿,牙龈和牙齿分离了怎么办?
图片尺寸360x480
狗狗牙结石增多会引起齿龈炎,牙龈萎缩,牙 - 抖音
图片尺寸786x1397
>> 做烤瓷牙后为何牙龈会肿痛 做烤瓷牙后如何护理问:后面的牙齿断了
图片尺寸325x212
牙龈红肿出血只是上火?人老就掉牙?预防牙周病,让牙齿相伴终生
图片尺寸1079x620
新华医疗牙用分离器牙骨膜分离器牙龈剥离器种植翻瓣器口腔科器械
图片尺寸800x800
牙龈_牙齿_调节
图片尺寸371x270
导致牙龈出现脓包的原因多与牙齿疾病相关,比如牙周脓肿,牙髓炎等引起
图片尺寸740x488
07烤瓷牙里面的金属面 唾液的浸泡下会析出金属离子 腐蚀牙龈 - 抖
图片尺寸1080x1920
从牙龈萎缩和正常牙龈图片对比,看怎么判断自己牙龈萎缩,牙齿对比照片
图片尺寸425x283
④牙齿松动,相邻牙齿之间缝隙变大;⑤牙齿和牙龈之间有脓渗
图片尺寸600x600