牙齿和牙龈有缝隙图片

今日分享案例是,一位上牙齿缝隙过大,牙齿偏大的女士.
图片尺寸1280x1706
牙齿和牙龈之间有条黑缝,平时也没什么,一吃甜的和用冷酸灵牙膏那颗牙
图片尺寸768x1024
为什么有些人牙齿缝隙会出现黑三角?
图片尺寸600x372
40岁牙齿缝隙越来越大了有人知道牙齿缝隙大怎么解决吗
图片尺寸650x478
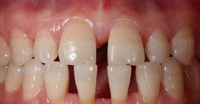
牙齿缝隙越大该怎么治疗
图片尺寸500x279
有图慎入牙齿缝隙以及靠近牙龈的地方有明显黑色被蛀痕迹牙齿表面也
图片尺寸1080x391
成年人牙齿缝隙大怎么治疗
图片尺寸396x206
你有没有发现,你的牙齿缝隙越来越大? - 知乎
图片尺寸424x283
牙齿上的小黑线,小黑点是什么?能刷掉吗?
图片尺寸640x420
想要扼制牙齿缝隙继续增大,做好以下护理,恢复牙龈健康1,定期洗牙2-3
图片尺寸703x324
男人上门牙齿出现缝暗示肺要不行了
图片尺寸427x239
牙齿有缝隙,用舌头顶起感觉像刀口,这是怎么回事
图片尺寸810x1080
表弟大门牙旁边的牙齿与肉连接出有个洞.
图片尺寸551x676
牙齿正上平面有缝隙是怎么回事呀?
图片尺寸960x1280
牙齿有一点点不齐有必要矫正吗?轻微歪斜也需要矫正吗?
图片尺寸400x400
头条问答 - 牙齿缝隙大怎么办?(35个回答)
图片尺寸640x499
牙齿缝隙如何清洁(牙齿缝隙黑色沉着的原因及解决方法)-52线报网
图片尺寸1024x1024
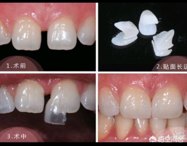
门牙之间缝隙大影响颜值,说话还会"漏风",如何是好?_治疗_进行_牙齿
图片尺寸1200x654
牙齿缝隙大实物图
图片尺寸500x276
牙齿缝隙发黑是蛀牙吗?
图片尺寸500x208