牙齿对齐

上下牙对齐
图片尺寸1080x1080
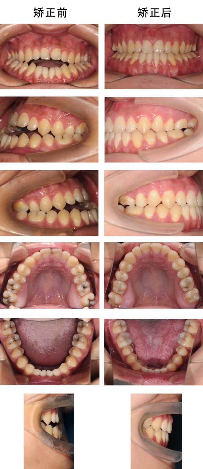
主要问题是牙齿排列不齐,门牙前突,脸型不对称.
图片尺寸500x797
一排整齐的牙齿的重要性
图片尺寸640x464
整齐的牙齿让你的颜值加分
图片尺寸1401x1414
牙齿中线不齐费用价格都不太一样,毕竟每个人情况不同佩戴的附件也是
图片尺寸600x303
矫治后牙齿3d图
图片尺寸1017x427
上下牙正好对齐临床上称之为对刃,属于牙齿错颌畸形的一种,跟下牙包住
图片尺寸1242x828
我的牙齿属于上下牙刚好完全对齐咬合的 牙齿还蛮齐的 嘴巴有点奇怪
图片尺寸768x1024
牙齿中缝不齐一定要重视,怎么矫正是门学问哦!
图片尺寸500x500
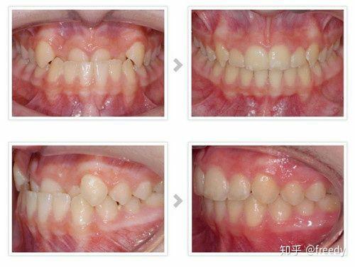
牙齿矫正拔牙or不拔牙?文夫医生正畸案例分享
图片尺寸640x293
在深圳牙齿矫正后,牙齿中线一定要对齐吗?
图片尺寸1152x1152
上下牙齿中线不对齐所致的咬合不齐,下牙前突,右侧上下第二颗前牙反
图片尺寸1000x668
人的牙齿是上下对齐的吗图片?来看看你的牙齿是正常的吗
图片尺寸759x463
所以,牙齿中线对齐是牙齿美容重要标准之一,牙齿不齐有上中线不齐,下
图片尺寸2687x4032
牙齿咬合图
图片尺寸500x328
为什么人类咬紧牙齿的时候大牙对齐门牙对不齐门牙对齐大牙对不齐
图片尺寸500x376
牙缝大的症状是选择牙齿矫正还是牙齿贴面比较好
图片尺寸653x1504
做牙齿矫正为什么要拔牙?拔牙矫正会不会有风险?
图片尺寸1080x604
矫正后的上牙排列整齐,牙中线对齐之后,笑容明显更加阳光大气了.
图片尺寸640x833
中线对齐67牙齿中线对齐还不够,毕竟也有可能两排牙一起歪……帐北
图片尺寸720x360