牙齿平导

牙齿矫正深覆合之平导
图片尺寸1080x1440
平导要带到什么程度才可以摘?
图片尺寸409x279
手工制作正畸平导
图片尺寸1080x1080
正畸平导
图片尺寸1080x1439
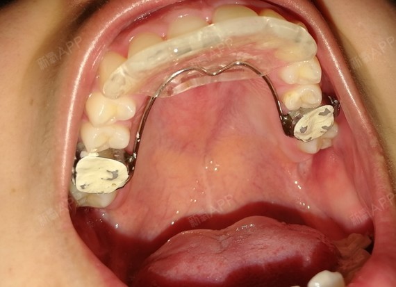
平导
图片尺寸1080x948
牙齿矫正深覆合之平导
图片尺寸1080x1440
正畸平导
图片尺寸360x480
张丽文:正畸平导是什么原理?_牙齿
图片尺寸1001x640
平导在牙套哪个阶段带起什么作用看完牙齿矫正平导过程视频秒懂
图片尺寸828x590
正畸科普平导是什么
图片尺寸621x537
可怕的平导
图片尺寸1080x1080
正畸平导
图片尺寸1080x1440
深覆合是啥需不需矫正附固定树脂平导制作过程
图片尺寸827x591
平导矫正器是什么?在正畸中起到什么作用?带你深入了解!
图片尺寸469x212
我戴平导2个月就打开咬合了
图片尺寸600x400
2019/9/10更新戴了四个月零三天的固定平导终_圈子-新氧美容整形
图片尺寸570x413
带上平导的第一天
图片尺寸1080x1439
牙齿正畸 #牙套平导
图片尺寸1080x1439
3)就是中间4颗下牙比较往上,平导的作用就是把这几颗牙齿压下去(对比
图片尺寸1080x1439
上颌平面导板的技工制作图谱
图片尺寸600x375