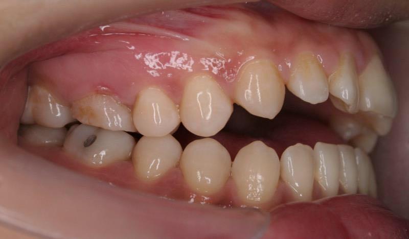
牙齿开颌

安氏开颌3类我的正畸之路
图片尺寸2560x1507
牙齿骨性开颌可以带牙套解决吗? - 知乎
图片尺寸800x468
牙齿矫正开颌矫正要多久
图片尺寸4289x4806
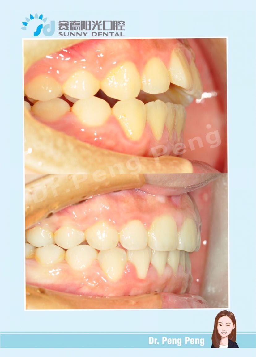
中山牙齿矫正案例分享开颌矫正的前后对比
图片尺寸709x443
牙齿不齐 图片集.反颌 开颌 深覆合 牙列稀疏 牙列拥挤 - 抖音
图片尺寸400x250
牙齿矫正科普丨令人惶恐的骨开窗骨开裂!
图片尺寸640x416
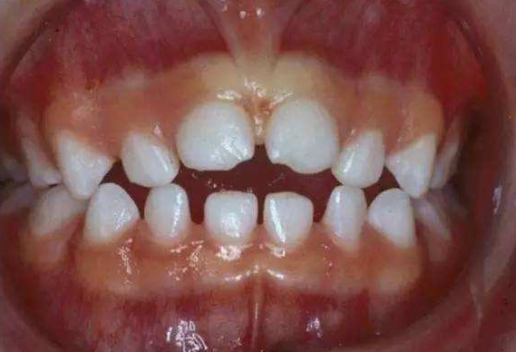
未成年前牙开合病例
图片尺寸828x1156
轻度开颌如何矫正? - 知乎
图片尺寸569x388
切换新版 >> 不再显示 ×3,牙齿前面图片 可能涉及到敏感图片,点击后
图片尺寸4000x3000
前牙开颌怎么治疗
图片尺寸450x280
牙齿开颌的危害有哪些?
图片尺寸433x240
牙齿开颌做牙齿矫正
图片尺寸313x338
牙齿矫正送你一个美丽微笑
图片尺寸1500x600
新收的开 牙合 病人,请大家畅所欲言,说得好的加分
图片尺寸2304x1536
鼻炎患者,长期口呼吸造成了上颌缩窄和前牙开颌如果怀疑孩子口呼吸
图片尺寸5184x3456![口腔正畸开牙合 [病例帖]](https://imgs.wantubizhi.com/img/ADDA3C5D760C6828B77B505A29D43E8331617C76C9D9EE76E15D2904AAC652F15C04D1CF3D31FFD61D734A1C690E5B8199658B81ED8E899DC1599F4CBCD9CFA9A1DFAA4BCAB1090FB0EC892380EC77179D31C64CC759D8430CBC75A4F2201F9E)
口腔正畸开牙合 [病例帖]
图片尺寸1000x666
地包天 开颌,正畸后获自信进500强
图片尺寸1102x732
吃手指导致的牙齿突出开颌可以这样矫正哦
图片尺寸1024x576
【专题讨论】开(牙合),这个病案有什么好的手段和方法?
图片尺寸4000x3000
牙齿开合矫正
图片尺寸1280x960