牙齿异常

牙齿表面看不出没有任何异常但是咬合痛
图片尺寸1080x1941
在孩子换牙年龄阶段,很多父母都非常担心,生怕牙齿长歪长斜,可是还有
图片尺寸640x429
一般常见的牙齿异常着色的原因是什么
图片尺寸500x279
【诊疗常规】儿童牙齿数目异常规范诊治-搜狐大视野-搜狐新闻
图片尺寸300x280
咬合不正是指牙齿位置异常,可能会使动物出现不 - 抖音
图片尺寸1000x930
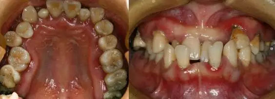
牙齿排列异常对牙齿咬合功能及牙周健康的危害
图片尺寸600x398
牙齿形态异常
图片尺寸1322x882
如果牙齿有这3个异常表现,需多加注意!
图片尺寸640x437
(牙齿质地异常示意图)
图片尺寸880x248
牙齿颜色异常及其美容(换色)治疗
图片尺寸640x480
牙缝过宽牙齿染色氟斑牙龋齿龋齿奶瓶龋口腔牙齿异常情况如果您的小孩
图片尺寸640x426
导致恒牙萌出受阻,出现萌出顺序异常,或错位萌出,埋伏阻生,造成牙齿
图片尺寸554x228
形态异常牙,牙釉质发育不良,过小牙等.
图片尺寸800x546
如疾病,口腔不良习惯,换牙异常等导致的牙齿,颌骨及颅面的畸形
图片尺寸1080x722
深圳牙科科普-牙齿发育异常的表现有什么呢?__凤凰网
图片尺寸1000x750
牙齿异常脱落不要忽视与它弄混连哭都没眼泪
图片尺寸620x461
釉质发育不全的诊断与牙体发育异常的治疗——宋亚玲教授
图片尺寸894x562
"牙齿不齐"是面子问题,更是健康问题!
图片尺寸564x203
【牙位异常】牙位异常时的牙周外科处理-接触点异常(一)
图片尺寸445x300
牙釉质发育不全,是牙齿结构异常的一种疾病,是由于牙釉质基质形成时
图片尺寸467x270