牙齿戴冠

一周后试戴全瓷冠照片
图片尺寸1125x750
试戴牙齿5.
图片尺寸620x446
目前已经进行到三期取模,两周后就可以戴冠,后续再处理其他牙齿
图片尺寸1200x1600
根管治疗之后的牙齿,除了及时戴上了牙冠,也需要我们多加注意,小心
图片尺寸432x300
目前已经进行到三期取模,两周后就可以戴冠,后续再处理其他牙齿
图片尺寸1200x1600
牙齿劈裂怎么办?为什么根管治疗做好还要戴冠?
图片尺寸588x377
活动作品想要给牙齿戴冠那就要先做这个准备
图片尺寸1920x1080
前牙龋坏全瓷冠修复
图片尺寸640x425
遭受损坏的牙冠有时会逐渐形成裂缝,最终使得牙冠与牙齿之间的密封
图片尺寸500x260
戴个冠,因为做根管治疗是把我们的牙神经杀死了,之后我们的牙齿处于一
图片尺寸400x250
牙冠
图片尺寸300x241
牙齿缺失-北京中诺口腔医院(三级专科医院)
图片尺寸356x269
装了烤瓷牙后牙龈发黑还有救但这种牙根发黑可能影响牙齿寿命哦
图片尺寸600x304
目前已经进行到三期取模,两周后就可以戴冠,后续再处理其他牙齿
图片尺寸1200x1600
给牙齿戴个帽子太重要,做完根管治疗为啥一定要戴冠?
图片尺寸350x350
恭喜牙不好的人,你离"低价种牙"不远了!种牙暴利时代有望结束
图片尺寸640x480
戴冠后的注意事项
图片尺寸250x217
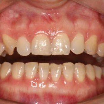
牙已经完完整整的在我的嘴里了,张嘴给你们看看,感觉和其他牙齿差不多
图片尺寸785x537
最大程度地恢复牙齿咀嚼功能种植牙可以恢复九成以上的咀嚼功能.
图片尺寸720x302
其实打桩戴冠和嵌体都是比较好的一种牙齿修复方式,但因为两者的适应
图片尺寸396x378