牙齿收缝过程变化图

刚开始我以为收缝会比排齐疼,其实不然,都没有什么痛感即使牙齿酸酸的
图片尺寸1080x810
24岁牙齿矫正过程照片对比77经验分享
图片尺寸791x2132
原来牙缝大还可以用隐形矫正来收缝呀效果还蛮赞的嘛
图片尺寸500x265
牙缝大,但是牙齿无松动,医生建议 不拔牙进行隐形矫正,配合去釉,内收
图片尺寸750x668
牙齿正畸 #牙套女孩 #整牙历程 收缝日常每天换一次皮筋 - 抖音
图片尺寸1440x1920
【必备】牙周缝合方法大全——转载-dentist-7的博客-kq88口腔博客
图片尺寸500x1800
牙齿收缝五个月啦
图片尺寸1080x607
戴牙套收缝20天,橡皮链20天~感觉有变化啦
图片尺寸570x760
【必备】牙周缝合方法大全——转载
图片尺寸500x1800
收缝三个半月的对比_牙套之家app_牙齿矫正人气社区
图片尺寸3072x4096
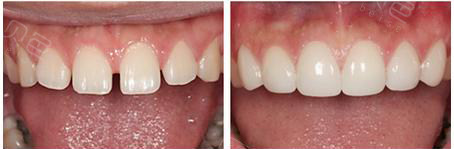
亲身经历揭秘,门牙有缝儿是贴面好还是牙齿矫正好!
图片尺寸454x149
第一次复诊就收缝了
图片尺寸1080x1439
吴畸记12漫长的收缝中
图片尺寸1080x1079
牙齿矫正收缝
图片尺寸1080x1161
因为牙齿自卑怎么办啊?
图片尺寸720x480
牙齿矫正钢丝收缝和橡皮筋收缝的区别都有哪些哪个更好
图片尺寸500x340
壹加壹龅牙,门牙缝隙矫正过程中牙齿变化图
图片尺寸563x530
正畸收缝半年前后侧脸对比_牙齿矫正_美妆_医美整形
图片尺寸1080x810
正畸牙齿收缝能不能快一点71矫正不能太着急
图片尺寸1080x1439
牙科常用缝合方式
图片尺寸1080x608