牙齿根部发黑怎么解决

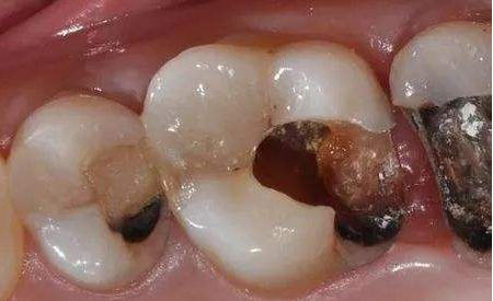
牙齿表面出现黑线是蛀牙吗该怎么办转
图片尺寸1242x2020
怎么去牙石牙齿根部发黑怎么去除
图片尺寸500x350
我的牙齿为什么会变黑,怎么办!
图片尺寸450x800
牙根内有黑色物,牙根肉向牙根收缩,刷牙这个地方会出血牙齿根部发黑
图片尺寸1024x719
3只装牙齿松动非牙周炎牙龈萎缩修复牙非疼出血固牙散益生菌110g
图片尺寸800x800
门牙烂根发黑了 一点都不疼 冷热酸甜一样吃 这样
图片尺寸691x921
牙齿根部缝隙处发黑有臭味是怎么回事
图片尺寸592x446
抽烟:长期抽烟的人,会在牙齿表面或根部留下很多烟渍,进而使牙齿变黑.
图片尺寸567x400
如果你的牙齿出现了黑线说明你的牙齿已经危险了
图片尺寸720x331
蛀牙烂成牙根怎么办?
图片尺寸640x426
【图】牙龈变黑是怎么回事 暗示三大健康因素
图片尺寸400x400
牙齿出现这些"黑线",你可得注意了!
图片尺寸578x320
局部用氟,合理膳食,预防根面龋_老年人_口腔_牙齿
图片尺寸1021x460
牙医揭秘:为什麼「牙齿上会有黑线」?
图片尺寸457x292
牙齿内部发黑
图片尺寸500x421
孩子牙齿发黑怎么办?究其原因,逐个击破,做好这三点!
图片尺寸600x400
牙齿莫名变黑是为什么?牙上的小黑点该怎么去除?看看牙医怎么说
图片尺寸450x275
烤瓷牙边缘发黑这是怎么回事?难道会"渗毒"?
图片尺寸640x640
烤瓷牙哪种材料好分享烤瓷牙的种类及价钱
图片尺寸450x296
牙齿变黑之后不疼就不用管吗?蛀牙对身体影响大吗?看完长知识了
图片尺寸1072x651