牙齿根部黑腐蚀深图片

门牙烂根发黑了 一点都不疼 冷热酸甜一样吃 这样能直接堵吗 去腐会不
图片尺寸691x921
牙齿根部坏掉?
图片尺寸720x1280
牙齿龋坏情况
图片尺寸500x471
牙齿发黑图片6
图片尺寸534x400
牙齿根部发黑怎么办
图片尺寸1920x1080
不仅影响面型,清洁也成了难题,细菌堆积后会再次腐蚀牙齿,造成恶性
图片尺寸2887x2376
我的牙齿为什么会变黑,怎么办!
图片尺寸450x800
烤瓷牙牙根发黑
图片尺寸450x296
平时都在好好刷牙 怎么牙根却开始烂掉了|牙根|根部|牙冠_新浪网
图片尺寸503x289
牙龈那里蛀坏发黑了怎么补
图片尺寸964x602
有一颗牙根一直烂在里面5,6年了,怎么办,可以壤牙吗?
图片尺寸1024x1017
请问一下,28岁,我一颗牙根发黑,用力刷牙出血,近一个或两个多月发
图片尺寸600x800
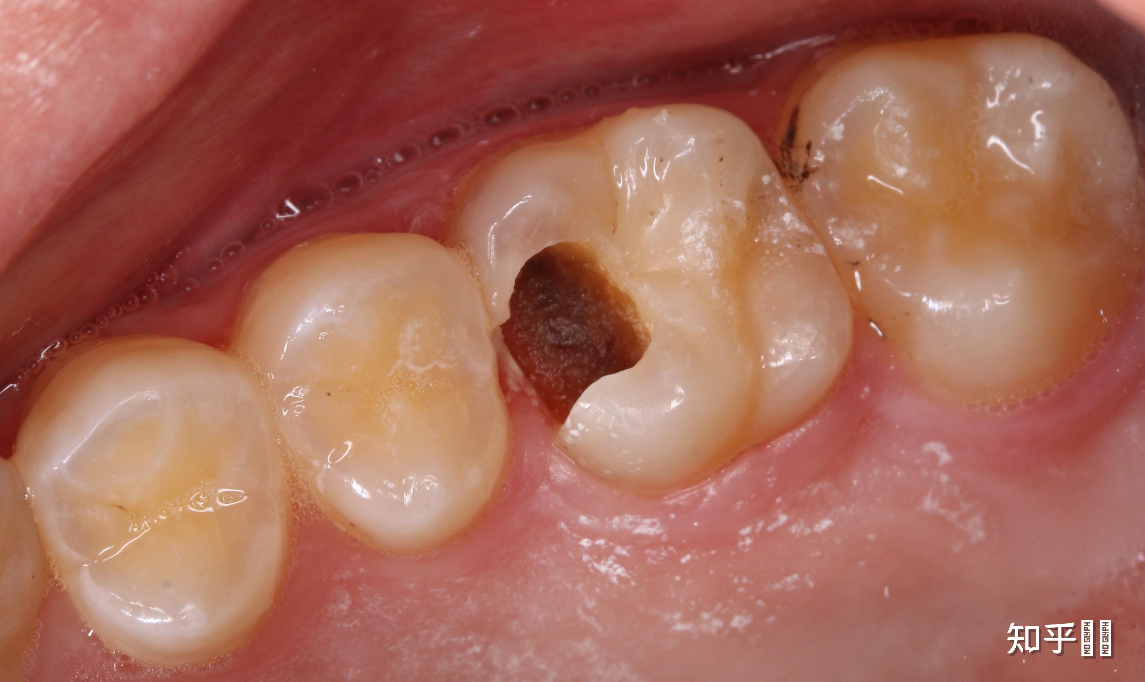
牙本质上黑色硬的腐质,不全去净也可以吗? - 知乎
图片尺寸3638x2168
牙齿变黑了,也不疼,怎么回事?这是什么情况?去牙科,医生说先不用管!
图片尺寸375x500
牙齿根部发黑,像有个小洞还是裂痕一样. 怎么办?
图片尺寸480x640
问:亲们,带我看看我牙,牙根那里黑色的是什么呀?感觉好卡牙
图片尺寸317x421
牙齿根部这黑色痕迹是什么啊
图片尺寸1080x2337
牙齿根部有一点深色的,是什么东西,要怎么弄
图片尺寸600x800
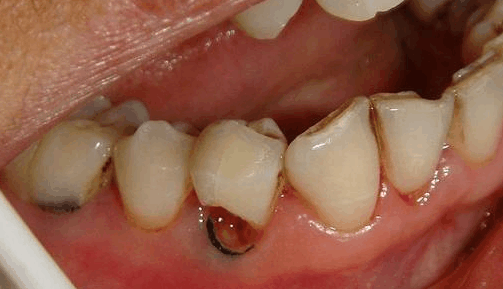
黑牙根要看牙医吗(有图),是什么病,怎么治?谢谢
图片尺寸384x242
牙根黑一般是龋齿因素所造成,说明牙齿发生了损坏,如果没有及时治疗的
图片尺寸640x427