牙齿残根

一例残根的治疗在修复朱元龙
图片尺寸620x465
无法保留的残根
图片尺寸522x362
牙齿残根如果得不到彻底地治疗,很容易对身体造成其他并发症的影响,应
图片尺寸656x570
残根的再利用基本情况:姓名,赵×,女,年龄35,职责,个体经商主诉:牙套
图片尺寸1294x550
牙齿烂了只剩残根,怎么办?京冠告诉你#牙医日常 #爱牙护牙 - 抖音
图片尺寸1024x837
烂掉的牙齿残根要拔除吗有什么影响
图片尺寸420x280
牙齿残根到底要不要保留?
图片尺寸1000x538
牙齿残根20几年了没拔会怎么样牙残根一辈子不拔行吗
图片尺寸500x286
这些残根危害可不小,严重要截骨!__凤凰网
图片尺寸1023x681
中老年人要注意牙齿残根不拔会成为定时炸弹
图片尺寸640x402
患者刘某,46龋齿严重,只剩下残根.48阻生齿无对颌.
图片尺寸750x1000
残根的再利用基本情况:姓名,赵×,女,年龄35,职责,个体经商主诉:牙套
图片尺寸1130x629
牙齿残根到底要不要保留?
图片尺寸691x370
残根还有救吗
图片尺寸600x366
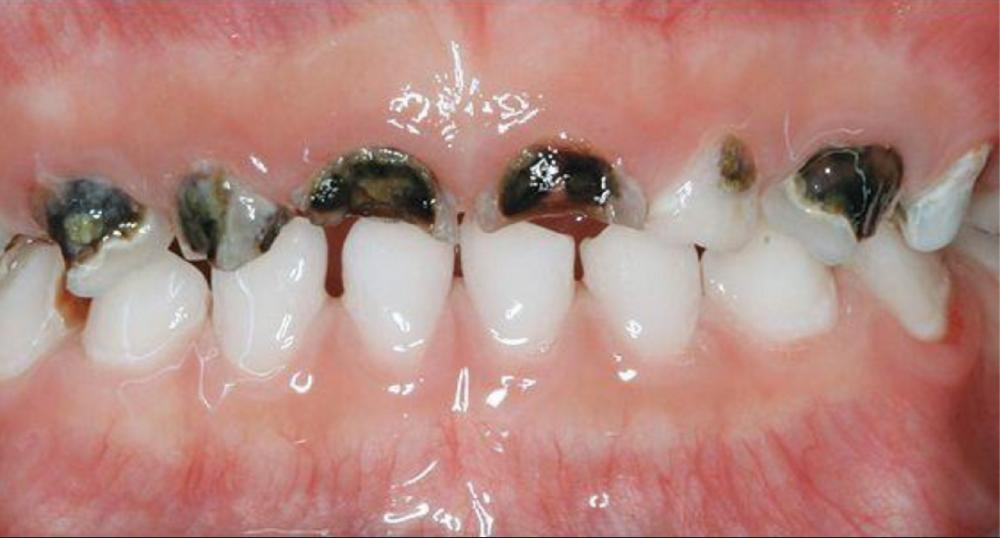
牙齿龋坏残根
图片尺寸544x478
每周科普变残为宝残冠残根的桩核冠修复
图片尺寸575x387
蛀牙残根要不要拔掉?
图片尺寸451x280
残根的挽留 氧化锆还是铸瓷的选择?不忘初心 方得始终
图片尺寸640x426
残根修复
图片尺寸1080x540
后牙残冠修复之髓室底修补
图片尺寸640x434