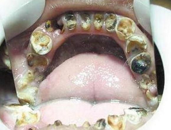
牙齿烂掉的照片

碳酸饮料当水喝 男子一口牙全烂光只能吃流食
图片尺寸615x410
牙齿龋坏到什么程度需要做根管治疗
图片尺寸496x315
宝宝四岁了!大牙烂了个大窟窿 偶尔会疼!怎麼办
图片尺寸400x400
龋齿已经烂空了怎么办 #让我看看你的牙 #口腔科普 - 抖音
图片尺寸1035x657
一颗烂牙的重生之路.关于一颗烂牙的重生之路#补牙 #一口好牙 - 抖音
图片尺寸1065x1065
牙齿烂了一半照片
图片尺寸400x269
牙医遇见最烂的牙齿到底有多烂
图片尺寸1080x823
牙齿烂到根本停不下来怎么办
图片尺寸363x527
数月前治疗一颗牙的患者,当时发现其他牙齿也有龋坏,建议治疗,患者一
图片尺寸690x878
要尽早带孩子去口腔医院检查拍片,看牙齿的具体情况,不疼说明只是牙齿
图片尺寸480x500
因为妈妈太无知,导致5岁宝宝的牙齿全部烂掉
图片尺寸580x444
最烂的牙能烂成啥样
图片尺寸720x718
牙窟窿问题.
图片尺寸916x681
问题:补过的牙掉了怎么办
图片尺寸254x370
牙齿烂的只剩下根部了,不疼就不用拔?小心拖到最后上万都修不好
图片尺寸545x409
"羞于见人"的牙齿
图片尺寸450x878
悦悦的大眼睛扑闪扑闪很可爱,可是一张口,牙齿已龋坏变黑,这令她有些
图片尺寸830x959
牙齿烂成这样还能补吗
图片尺寸450x448
牙齿烂的只剩下根部了,不疼要不要拔掉?__财经头条
图片尺寸450x359
通常情况下我们经常会听到说如若发现牙齿有龋坏现象,要及时到院进行
图片尺寸640x435