牙齿矫正后牙龈萎缩图

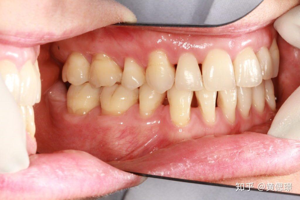
正畸后留下黑三角牙龈萎缩的你们还好吗
图片尺寸1536x2048
正畸后留下黑三角(牙龈萎缩)的你们还好吗? - 知乎
图片尺寸1024x683
牙龈萎缩
图片尺寸500x375
牙龈萎缩成这样,还能正畸吗?
图片尺寸691x490
牙龈萎缩_牙齿矫正|福州种植牙中心|福州隐形矫正中心|福州牙科医院
图片尺寸536x290
牙龈萎缩的有点严重,但是没有别的不适,就是觉得丑,姐妹们,那个牙齿
图片尺寸1118x838
大部分或全口牙齿的牙龈和牙槽骨发生萎缩,但多发生于年轻人
图片尺寸500x276
请问我这牙龈萎缩得很严重了么?
图片尺寸1152x864
牙套矫正后的牙龈萎缩,医生说是常见的情况,有什么办法么!
图片尺寸484x644
【病例分享】这种情况可能导致严重牙龈萎缩,父母需要警惕
图片尺寸1400x933
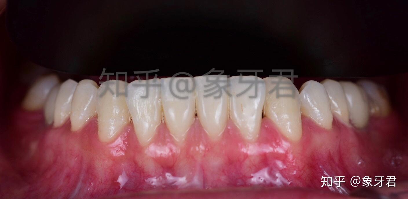
图14 右下侧切牙牙龈萎缩,附着龈丧失
图片尺寸548x428
我这个牙龈萎缩严重吗?
图片尺寸943x482
这属于牙龈萎缩么
图片尺寸524x343
牙齿正畸导致的牙龈萎缩的黑三角会自己修复吗?
图片尺寸1039x693
正畸后留下黑三角(牙龈萎缩)的你们还好吗? - 知乎
图片尺寸1409x688
牙齿矫正会造成牙龈萎缩?
图片尺寸514x428
牙龈萎缩牙根外漏还能恢复吗?修复术一般多少钱?附牙龈萎缩最严重图片
图片尺寸600x449
25岁,牙龈已经开始萎缩了!怎么办? 太可怕了.该注意哪些?谢谢?
图片尺寸431x221
右上正中门牙植体感染牙龈萎缩
图片尺寸600x401
请问我这牙龈萎缩得很严重了么?
图片尺寸1152x864