牙齿矫正后遗症和危害

牙齿矫正应在十二三岁换完牙后开始,其实这是错误的认知,可能少数病例
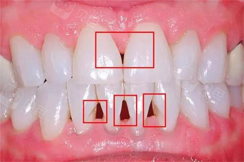
图片尺寸969x846
牙齿矫正必看正畸可能出现的4种后遗症75
图片尺寸1080x1440
广州光华口腔正畸失败|张不开口吃不了饭.
图片尺寸1440x1920
二次牙齿矫正的危害7263
图片尺寸1080x1438
深圳牙齿矫正一定要注意的五个后遗症7815
图片尺寸1080x1439
成人正畸牙齿可能会出现以上五点后遗症
图片尺寸1080x1443
戴牙套有哪些后遗症?正畸治疗可以有效地改善牙齿排列不齐和咬 - 抖音
图片尺寸1242x1660
儿童正畸牙齿后遗症太可怕了 如何辨别医生是否靠谱
图片尺寸386x454
南宁牙齿矫正辟谣整牙竟有这些后遗症
图片尺寸1242x1660
牙齿不及时矫正的后果竟然这么可怕!
图片尺寸1200x1598
牙齿开合的病因,危害及开合矫正_前牙_后牙_口腔
图片尺寸702x363
针对宝子们担心的后遗症问题我列出了以上31566点#矫正牙齿
图片尺寸1080x1439
牙医不建议矫正牙齿,只因为正畸牙齿后遗症和危害太可怕?
图片尺寸512x340
一,牙齿矫正失败后,带给你的伤害是什么?
图片尺寸922x705
细数牙齿矫正的后遗症和危害分析牙齿矫正副作用的原因
图片尺寸499x332
正畸必看60千万别忽视牙齿矫正466大后遗症
图片尺寸1080x1443
"30多岁了,还有必要矫正牙齿吗?
图片尺寸640x608
蒋馨医生科普牙齿矫正会留有后遗症
图片尺寸1080x1440
我做牙齿矫正后悔一辈子,正畸完脸型毁了嘴巴也越来越凸.
图片尺寸600x366
快来报道60医生不会说的075大整牙后遗症
图片尺寸1080x1440