牙齿矫正扩弓图片

什么是牙齿矫正扩弓?
图片尺寸1725x1280
扩弓矫正会让脸变大是真的吗
图片尺寸800x529
舌头没有地方放,口水巨多01#上海牙齿矫正 #扩弓器
图片尺寸1080x810
11岁矫正牙齿
图片尺寸1080x1439
92水心水灵的矫正日记女儿们的牙弓比较窄,牙齿拥挤前牙突出.
图片尺寸731x500
正畸临床病例(八)—"横向先行"扩弓的方法与技巧
图片尺寸2256x1268
关于牙齿扩弓刘婷婷医生告诉你哪些可以做扩弓不用拔牙矫正
图片尺寸426x336
口臭洁牙老年口腔中医口腔门诊即将开诊雁江区人民医院呵护您的牙齿
图片尺寸1080x720
牙齿正畸前要戴上颌扩弓器一个月,一直更新中
图片尺寸800x800
儿童牙齿矫正器 活动可摘 地包天反颌深覆合龅牙牵引法兰克扩弓器
图片尺寸800x800
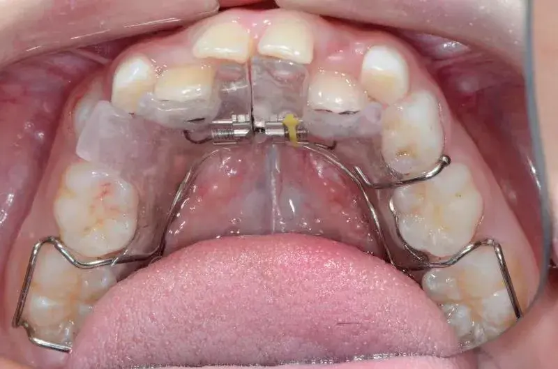
四眼簧扩弓器
图片尺寸889x593
这项技术只针对因为牙弓发育过窄,造成牙齿拥挤的案例,而且扩弓比较疼
图片尺寸436x336
儿童牙齿早期干预矫正有几种细数一下竟有十余种
图片尺寸500x374
记录:省口正畸正颌之路,第一步上扩弓器_正颌手术_牙齿矫正_口腔_南方
图片尺寸959x1280
case 4 13岁男孩前后牙反颌,用了三向扩弓器,解决了牙齿反颌,拥挤的
图片尺寸1438x1124
牙齿矫正扩弓d11
图片尺寸1080x1441
儿童进行牙齿扩弓好不好
图片尺寸500x332
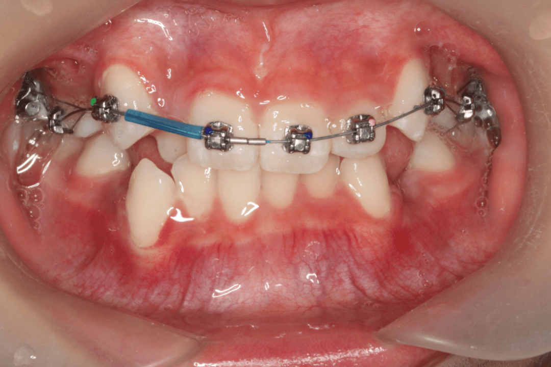
扩弓本人是医学奇迹正颌术前正畸
图片尺寸720x504
听说牙齿扩弓矫正后的效果会更好!
图片尺寸419x336
那么扩弓就可以扩大牙槽骨的容量,让牙齿获得移动空间
图片尺寸1080x720