牙齿矫正收缝过程图

牙齿矫正钢丝收缝和橡皮筋收缝的区别都有哪些哪个更好
图片尺寸500x340
拔牙矫正收缝过程
图片尺寸1080x675
牙齿正畸 #牙套女孩 #整牙历程 收缝日常每天换一次皮筋 - 抖音
图片尺寸1440x1920
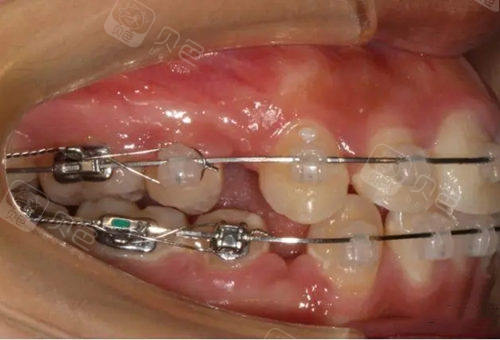
牙齿矫正钢丝收缝
图片尺寸500x333
牙齿矫正戴橡皮筋收缝阶段图
图片尺寸675x894
牙齿矫正要分几个步骤最全的流程详解来啦
图片尺寸720x405
【武汉中洁牙齿矫正】已经开始收缝了,牙齿基本上也整_圈子-新氧美容
图片尺寸570x372
第284天,开始挂皮筋链收缝,又得酸痛几天#正畸 #牙齿矫正 #正畸橡皮
图片尺寸1080x1439
牙齿矫正收缝
图片尺寸1080x1161
拔牙矫正牙齿收缝全过程!-深圳五洲中医院
图片尺寸1080x675
牙齿矫正钢丝收缝和橡皮筋收缝的区别都有哪些哪个更好
图片尺寸500x328
8000元 口腔项目 牙齿矫正 恢复时间 700天 收藏 做牙齿矫正,尤其
图片尺寸500x500
牙齿矫正钢丝收缝和橡皮筋收缝的区别都有哪些哪个更好
图片尺寸500x340
24岁矫正牙齿之路开启
图片尺寸1901x962
壹加壹龅牙,门牙缝隙矫正过程中牙齿变化图
图片尺寸563x530
一年半,牙齿排齐收缝
图片尺寸728x471
第一次复诊就收缝了
图片尺寸1080x1439
正畸矫正7422岁带自锁牙套的全过程
图片尺寸2048x1536
收缝三个半月的对比_牙套之家app_牙齿矫正人气社区
图片尺寸3072x4096
在普宁流沙做牙齿矫正哪家医院好一点 做过的朋友分享一下
图片尺寸500x343