牙齿矫正案例图片

矫正案例分享牙齿拥挤
图片尺寸3106x4096
杭州看牙赵陈皖-青少年隐形牙齿矫正案例 - 知乎
图片尺寸1400x560
温州艺星口腔医院牙齿矫正案例
图片尺寸500x378
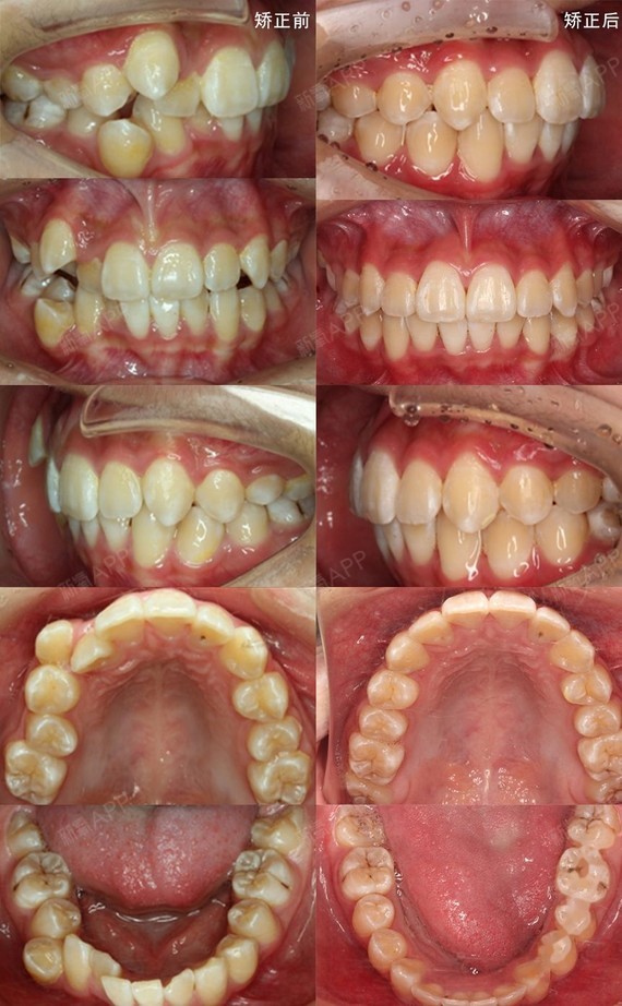
正畸正颌联合矫治案例
图片尺寸962x1865
案例分享儿童牙齿不齐拥挤矫正案例
图片尺寸1440x1872
牙齿矫正-隐形矫正效果图,案例前后对比照片
图片尺寸672x378
韩国江南美丽微笑牙科★牙齿矫正真实案例
图片尺寸525x365
一组杭州正畸医生骆英ebrace舌侧矫正24个月效果图,牙齿对比照片-8682
图片尺寸747x447
隐形矫正 扩弓,牙齿拥挤少女收获甜美笑容 - 贝致案例库 - 贝致
图片尺寸1690x898
舌侧矫正遗传性骨性地包天案例
图片尺寸1134x1506
案例分享个性化舌侧矫治骨性上颌前突伴露龈笑一例
图片尺寸2022x933
成都正畸丨成都牙齿矫正丨陈江玥医生正畸案例合集持续更新中
图片尺寸2048x2048
做牙齿矫正一年2个月效果,换城市继续! !
图片尺寸800x800
贝致案例库 > 龅牙嘴凸没下巴,牙齿矫正对外貌的变化有多大?
图片尺寸799x1600
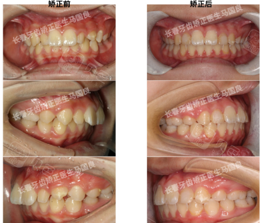
长春博菲特马国良医生隐形矫正案例分享
图片尺寸510x438
大龄女青年矫正牙齿效果,我来告诉你自锁牙套矫正效果如何!
图片尺寸450x450
我的牙齿矫正经历,难以回收的下排牙坑惨我了!
图片尺寸500x500
真人案例地包天矫正案例分享
图片尺寸1024x512
牙齿矫正案例|虎牙女生不拔牙矫正,14个月纠正歪头_圈子-新氧美容整形
图片尺寸570x922
贝致案例库 > 虎牙少女矫正,这才是牙齿本来的模样!
图片尺寸1000x1524