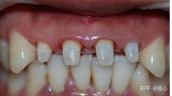
牙齿磨小

全冠就是把整个牙齿磨小,然后像戴帽子一样把牙齿整个盖住,优点是很
图片尺寸617x343
跪求被磨小的牙齿修复跪求老祖宗好好做人2022已更新今日推荐
图片尺寸474x266
我不懂烤瓷牙然后给磨小了两颗牙齿门牙第二第三颗后来了解
图片尺寸1280x960
牙体|牙医|牙齿|牙冠_网易订阅
图片尺寸600x375
牙齿磨小图
图片尺寸600x400
美女轻信牙齿整形牙齿被磨完像鳄鱼
图片尺寸660x495
磨小的牙齿
图片尺寸500x261
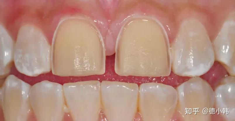
本人去做了超薄牙齿贴面,牙齿表面被磨掉一层,很后悔,得知贴面有许多
图片尺寸804x417
这锅,肚子里的虫子不背!_牙齿
图片尺寸550x327
7天快速美白矫正牙齿的美容冠靠谱吗?别再上当啦!
图片尺寸553x260
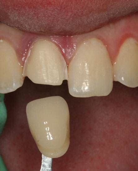
1,磨小的牙齿寿命会很短全瓷牙修复后,随着使用时间的增加,密闭性会变
图片尺寸656x410
跪求被磨小的牙齿修复跪求老祖宗好好做人2022已更新今日推荐
图片尺寸474x315
6767磨牙症,是指人在睡眠或清醒时无意识的上下牙齿彼此磨动或
图片尺寸922x1280
牙齿上多长了个小尖尖,能不能直接磨掉?
图片尺寸500x382
下面两颗门牙做过根管治疗后,牙齿越磨越短,有一颗都露出洞了怎么搞?
图片尺寸3264x2448
女子摔断牙齿去就医 被医生磨掉好牙
图片尺寸450x542
我想问一下门牙要是太长 能不能磨掉一点 磨掉吃东西会不会腐蚀牙齿
图片尺寸375x500
活动 知道为什么要把牙齿磨小么?评论区揭晓答案哦
图片尺寸1920x1080
我牙齿上只是小小的洞为什么牙医还要将它磨大
图片尺寸660x441
跪求被磨小的牙齿修复跪求老祖宗好好做人2022已更新今日推荐
图片尺寸444x550