牙齿神经线

牙齿周边神经分布示意图
图片尺寸500x413
相反,牙齿内有牙髓腔的空心结构,牙髓腔主要包含神经,血管,淋巴和结缔
图片尺寸640x605
抽完牙神经后,牙齿变成"死牙"?还能要吗?
图片尺寸950x633
牙齿神经系统人体组织结构解剖示意图图片免抠素材
图片尺寸360x360
小心牙神经已坏死,看看你是吗?|口腔|龋齿|牙菌斑|牙齿_网易订阅
图片尺寸640x455
做完牙齿矫正牙周神经是怎样移位的?
图片尺寸361x458
你的偏头痛可能是拔牙瘢痕导致的_牙齿_神经_牙冠
图片尺寸1080x983
牙齿的神经支配ppt
图片尺寸1080x810
抽牙神经的真相究竟为什么要在牙齿上开个洞
图片尺寸640x427
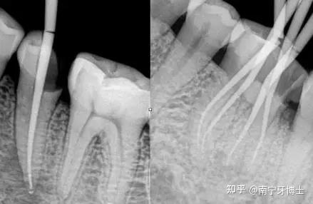
牙齿做"根管治疗"有人花3000,有人花6000,你不知道的收费标准!
图片尺寸828x592
牙齿的神经支配ppt
图片尺寸1080x810
牙神经虽然位于牙齿内,但却对外在的刺激非常地敏感.
图片尺寸495x519
根管治疗不就是"杀神经"吗?有什么不同?_牙齿
图片尺寸500x314
下颌牙齿和神经线距离
图片尺寸500x335
牙齿牙周炎的杀神经之路,,有多少是从这条道上下来的
图片尺寸864x486
牙齿神经图
图片尺寸500x474
神经,这时候就出现明显的疼痛,龋洞更大,继续发展下去,整个牙齿就烂掉
图片尺寸800x600
科普牙齿根管治疗过程中杀神经到底痛不痛
图片尺寸439x286
牙齿神经痛是指:由于牙齿急性炎症或慢性炎症,由牙髓的炎症转化为
图片尺寸1080x1077
牙神经拔掉有什么影响预防牙齿神经痛的四大方法
图片尺寸640x674