牙齿空了

牙齿空了黑了怎么办? - 知乎
图片尺寸1620x1080
看牙齿的具体情况,不疼说明只是牙齿烂空了,只要还没有伤到牙根,可以
图片尺寸480x500
所以就算是牙齿已经烂空了,一般有良心的医生并不会直接就给你拔掉
图片尺寸500x668
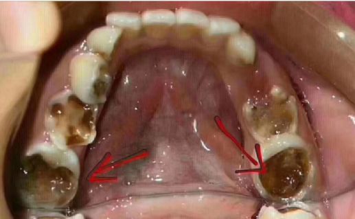
小孩子七岁,牙齿蛀成这样,可以补吗?
图片尺寸600x800
龋齿已经烂空了怎么办 #让我看看你的牙 #口腔科普 - 抖音
图片尺寸1035x657
求救前辈们!后槽牙蛀空,填补物脱落,18号才能看上,现在疼到升天.
图片尺寸1080x1440
7岁小孩牙齿被蛀虫后有颗像红钻似的东西?
图片尺寸768x1024
牙齿蛀的快没了,好多年了,一直没管他,想问下,一直不管他会怎样,如果
图片尺寸1200x1600
牙齿空了黑了怎么办? - 知乎
图片尺寸1080x1568
2岁小孩有一颗乳牙烂空了需要怎么治疗
图片尺寸720x507
一颗被蛀虫吃空的牙齿是如何在医生的操作下恢复如初?
图片尺寸640x360
牙齿坏了一半里面都空了怎么办.jpg
图片尺寸1300x750
牙齿内部掉了一块 现在舔到会觉的那里空着 里面好像是黑的
图片尺寸1024x952
最里面那颗牙齿是蛀牙空了三分之一疼了有半年到底怎么办
图片尺寸406x312
牙齿空了黑了怎么办? - 知乎
图片尺寸1620x1080
大牙全部空,坏了
图片尺寸1040x780
我来答 分享 微信扫一扫 新浪微博 qq空间 浏览 2 次 提示该问题
图片尺寸768x1024
上排里面的牙齿空了怎么办?3个小建议或能帮你
图片尺寸600x399
儿童牙齿问题需要引起家长重视——如果人生有"起跑线",那它就在每个
图片尺寸517x319
这个牙齿疼的厉害都驻空掉了怎么办补牙的话
图片尺寸450x800