牙齿脱矿早期图片

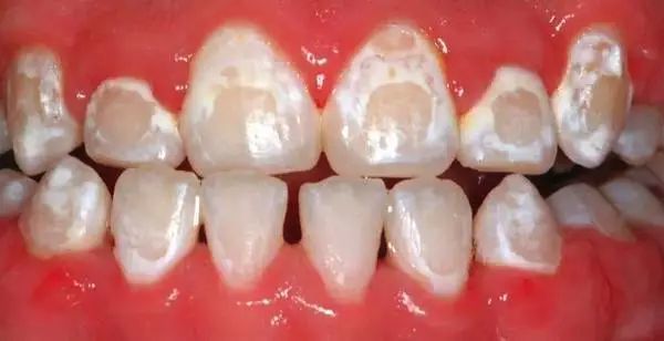
姐妹们 带牙套期间牙齿脱矿咋整(慎入)
图片尺寸634x402
牙齿脱矿是怎么回事该如何处理
图片尺寸600x308
孩子一周岁有点轻微脱矿,去了市二院口腔科,说没问题让回家刷牙,等坏
图片尺寸1080x1440
宝宝牙齿脱矿这两天掉了一小块好心塞啊
图片尺寸2048x1536
釉质脱矿釉质剥脱暴露牙本质早期脱矿早期 损不对称.
图片尺寸605x667
三岁宝宝牙齿怎么了,外面一层要掉
图片尺寸1008x1344
该怎么修复呢?在线等
图片尺寸780x1040
牙齿这样了怎么办
图片尺寸1600x1200
后磨牙发白.脱矿.敏感该怎么处理?
图片尺寸414x407
看图说话新解-牙齿表面脱矿形成白班的治疗 - 好大夫在线
图片尺寸1024x768
下图牙齿上白色的就是牙釉质脱矿.
图片尺寸1019x1280
牙齿脱矿记录 - 知乎
图片尺寸1161x907
脱矿和氟斑牙的区别
图片尺寸275x183
脱矿究竟是怎么一回事(牙齿脱矿的原因及预防措施)(2)
图片尺寸638x328
牙齿矫正会导致牙釉质脱矿?该怎么解决?
图片尺寸720x361
第一次听说牙齿脱矿
图片尺寸989x989
宝宝牙齿脱矿原来是这么回事
图片尺寸855x518
牙齿出现脱矿情况怎么办?
图片尺寸640x288
门牙牙齿脱矿想想还是早点带你去看也希望这些天老母亲普及的看牙医
图片尺寸1080x1439
看图说话新解-牙齿表面脱矿形成白班的治疗 - 好大夫在线
图片尺寸780x520