牙齿脱矿症状和图片

宝宝牙齿脱矿原来是这么回事
图片尺寸855x518
这个现象有个学名:牙齿脱矿
图片尺寸500x316
看牙齿脱矿早期图片了解脱矿后该如何补救
图片尺寸500x258
脱矿和氟斑牙的区别
图片尺寸275x183
牙齿脱矿是怎么回事
图片尺寸729x563
牙齿脱矿的话有哪些危害
图片尺寸500x375
辟谣|尿酸高,会导致牙齿发生脱矿吗?口腔医生有话说
图片尺寸589x417
牙齿脱矿是什么原因?怎么改善?
图片尺寸593x340
儿童脱矿的牙齿图片 儿童脱矿的牙齿能恢复吗?-图片大观-奇异网
图片尺寸1080x552
尿酸水平高,会导致口内牙齿酸蚀,发生脱矿吗?口腔医生为你解答
图片尺寸626x406
宝宝牙齿脱矿的图片
图片尺寸500x375
牙齿上的斑斑点点可能是脱矿
图片尺寸500x429
放下手中的可乐,牙齿很贵的!_脱矿
图片尺寸500x307
牙齿常见上的白点就是脱矿的白斑图片来源:站酷海洛
图片尺寸1000x666
牙体脱矿树脂微创美容修复一例
图片尺寸280x450
看牙齿脱矿早期图片了解脱矿后该如何补救
图片尺寸500x281
牙齿脱矿 vs 氟斑牙,一分钟带你分清!
图片尺寸451x392
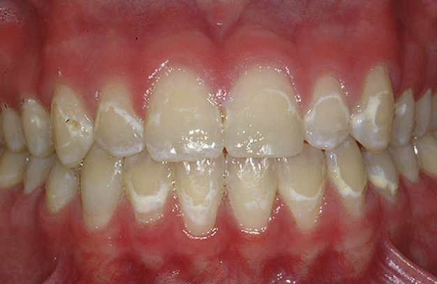
早期的脱矿只是牙齿颜色发生改变,任由发展下去就会像下面这张图一
图片尺寸501x404
牙齿脱矿,最显著的特征就是牙齿颜色变白,但暗淡无光,看起来明显和
图片尺寸550x350
牙齿出现脱矿情况怎么办?
图片尺寸640x288