牙齿脸型变化图

戴牙套会改变脸型吗?
图片尺寸800x555
牙齿矫正对脸型的改变有多大?来看看这些对比图!
图片尺寸500x315
脸型也是偏瘦长,跟五官比较搭配,遗憾的是牙齿前突
图片尺寸800x1600
牙齿矫正脸型前后对比
图片尺寸1080x854
洁白牙齿完美笑容四部曲.
图片尺寸1080x1712
牙齿的微笑的重要性,原来是这样子?
图片尺寸364x330
原创矫正牙齿对脸型的影响大吗什么样的情况下脸型改变会更明显
图片尺寸848x904
改变脸型1
图片尺寸435x307
相信可能很多人长得并不丑,但是也是因为牙齿的原因导致脸型发生改变
图片尺寸640x447
脸型变化图适应症戴牙套这一正畸治疗方式适用于牙排列不齐(如牙齿乱
图片尺寸750x500
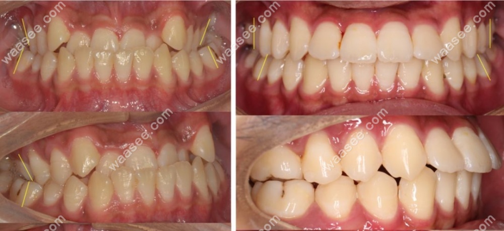
牙齿矫正会改变脸型吗这些人效果更明显
图片尺寸3543x1772
笑时过度露出牙龈的情况 2. 牙龈过长牙齿太短的情况 3.
图片尺寸492x535
优贝美丽盛惠:牙齿矫正福利美美哒!
图片尺寸500x323
牙齿矫正可以改变脸型么
图片尺寸750x1091
隐适美和钢丝哪个容易牙套脸对比牙齿矫正脸型变化图看看
图片尺寸600x360
博思美学院
图片尺寸1080x607
牙齿咬合不齐脸歪能矫正吗
图片尺寸495x242
牙齿矫正可以改变脸型,变化不比整容小!
图片尺寸440x378
牙齿矫正真的会改变脸型吗如何避免牙套脸
图片尺寸1280x1705
牙齿扩弓十天后脸会变更凸扩牙弓前后脸型对照图说明一切
图片尺寸1000x460