牙齿表面有黑斑刷不掉

牙齿出现黑斑,像是污渍,却抠不掉刷不掉,这是怎么回事?
图片尺寸600x300
出现虫牙了,该怎么办,就是牙齿上已经有黑黑的了
图片尺寸600x1066
牙齿出现黑线黑斑到烂掉整颗牙需要多长时间真相有些可怕
图片尺寸750x421
小孩的牙齿黑黑的是什么有没什么办法去掉
图片尺寸600x450
02有妈妈问儿童牙齿上的黑色东西是啥? - 抖音
图片尺寸1000x505
"提问儿童牙齿上为什么会有黑色素?
图片尺寸461x355
牙齿长黑斑的主要原因是牙齿表面的牙釉质和牙本质受到色素沉积
图片尺寸600x348
色素沉积:仅在牙齿表面形成污垢,保护层还没有被破坏.
图片尺寸1080x608
牙齿上的黑斑,小黑点一种是由于色素沉着,就比如说茶渍,咖啡,烟渍长期
图片尺寸1108x842
儿童牙粉去牙菌斑祛除神器去黄洗白黑牙去除牙齿黑斑清洁黑渍色素
图片尺寸750x750
后槽牙齿有黑点
图片尺寸620x620
牙齿上突然出现黑渍,刷牙弄不掉,是什么原因,是不是身体哪出毛病了?
图片尺寸2592x1936
10岁孩子牙齿上有黑斑,好像是色素沉淀,如何去除 2008-02-22 牙齿上的
图片尺寸816x612
河马牙医,聊聊牙齿的那些问题~之前做过一次关于牙齿美白的话题,底下
图片尺寸640x427
牙齿上有如图所示的黑点.请问是蛀牙吗?怎么补救?
图片尺寸4095x2303
吸烟等都可能给你漂亮的牙齿留下几个"污点", 而我们的牙齿虽然表面上
图片尺寸640x445
牙齿这样子是怎么回事,还有点疼
图片尺寸864x1152
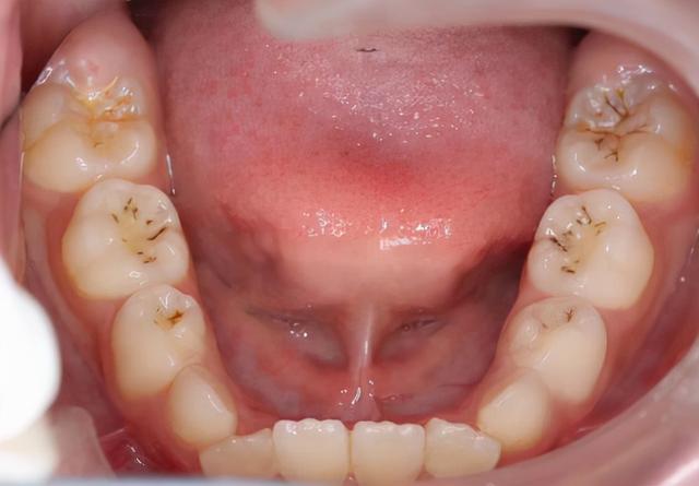
友友们,请问牙齿上有这种小黑点是蛀牙吗?要管它吗
图片尺寸1080x1197
牙齿出现好多黑斑怎么回事
图片尺寸768x1024
牙齿上黑色的着么清除
图片尺寸600x800