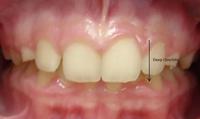
牙齿覆合

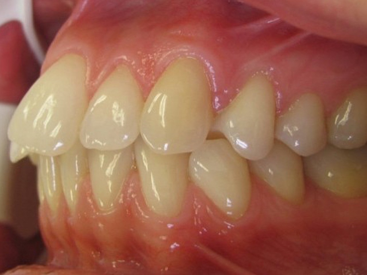
北京牙齿矫正黄帅医生 的想法: 内倾性深覆合会导致创伤性的咬合,由于
图片尺寸1200x800
牙齿咬合不齐有必要矫正吗
图片尺寸563x336
牙齿深覆合示意图
图片尺寸1000x750
牙齿深覆合需要去做正畸吗? - 知乎
图片尺寸1127x845
牙齿深覆盖深覆合矫治#正畸 #整牙历程 #戴牙套 #正颌正畸 - 抖音
图片尺寸1280x1682
闭锁性的深覆合比牙齿不齐更可怕
图片尺寸640x522
深覆盖和深覆合怎么分,这一篇看完就都明白了!_牙齿
图片尺寸992x649
这种牙齿看似整齐,实则暗藏危机!深覆合的痛,你知道多少?
图片尺寸537x357
牙齿矫正,带你看懂深覆合深覆盖的区别.成人牙齿矫正#牙齿矫正 - 抖音
图片尺寸1284x1646
小孩牙齿深覆合几岁矫正比较合适
图片尺寸600x400
术前诊断牙齿矫正姑娘牙齿深覆合深覆盖,上下牙弓狭窄_圈子-新氧美容
图片尺寸1280x960
深覆合牙齿内倾
图片尺寸1284x1712
深覆合牙齿实拍图
图片尺寸463x325
通过深覆合一度二度三度照片,深入了解自己牙齿情况-口腔医院新闻-398
图片尺寸600x400
如果你还不知道"牙齿深覆合"请看以上 - 抖音
图片尺寸500x400
牙齿为什么会裂
图片尺寸1080x720
我的牙齿矫正日记深覆合下巴后缩上牙半骨性前凸
图片尺寸1536x2048
深覆合一定要做矫正吗了解深覆合整牙过程步骤及牙齿矫正动态图
图片尺寸595x576
通过深覆合一度二度三度照片深入了解自己牙齿情况
图片尺寸600x799
深覆合牙齿是什么样的图片文章谈我的正畸经历
图片尺寸748x942