牙齿钙化不全图片

牙齿钙化是什么样子的
图片尺寸844x563
跪求大神,帮帮忙,孩子现在4岁牙齿都这样了,去医院医生说怀孕期间缺
图片尺寸816x612
牙齿钙化症状和图片,宝宝牙齿钙化轻度图片-图片大观-奇异网
图片尺寸473x248
严重龋齿的图片_有来医生
图片尺寸750x500
牙齿钙化
图片尺寸400x400
牙齿这样了怎么办
图片尺寸1600x1200
宝宝牙齿脱矿早期图片,牙齿脱矿如何补救
图片尺寸499x261
宝宝前门牙有点钙化怎么办婴幼儿牙齿钙化会自愈恢复吗
图片尺寸2000x1340
请问像我这样的牙齿怎么变白是什么原因导致的黄牙该怎么治疗呢
图片尺寸1022x681
釉质钙化不全,釉质发育不全与氟斑牙的区别是什么,有图片吗? - 知乎
图片尺寸1080x811
牙齿钙化怎么办牙齿上有白斑能恢复吗
图片尺寸1200x900
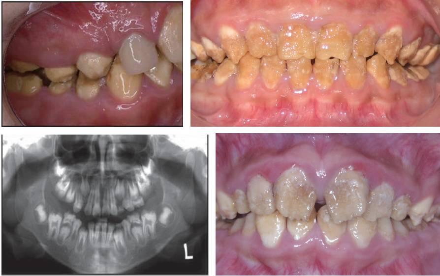
釉质发育不全的咬合重建一例2019escd认证病例
图片尺寸563x375
儿童在七,八岁前牙齿发育钙化期如饮用含氟量过高的水或者使用过量的
图片尺寸600x300
12岁女孩牙齿黄白相间怎么回事 什么原因 应该怎么处理?
图片尺寸768x1024
那么就会渐渐钙化,发展成牙结石,影响牙齿的健康
图片尺寸640x426
牙齿也会"脱钙"!
图片尺寸437x245
牙齿钙化症状和图片,宝宝牙齿钙化轻度图片-图片大观-奇异网
图片尺寸640x431
牙齿钙化症状和图片,宝宝牙齿钙化轻度图片-图片大观-奇异网
图片尺寸584x376
和钙化过程中由于受全身或局部因素影响出现的牙齿色泽变化或釉质缺损
图片尺寸422x220
釉质钙化不全 表现为未萌或新萌出牙的釉质厚度正常,质软,随后迅速
图片尺寸894x562