牙齿钙化图片

牙齿钙化图片
图片尺寸844x563
宝宝前门牙有点钙化怎么办婴幼儿牙齿钙化会自愈恢复吗
图片尺寸2000x1340
跪求大神,帮帮忙,孩子现在4岁牙齿都这样了,去医院医生说怀孕期间缺
图片尺寸816x612
牙齿这样了怎么办
图片尺寸1600x1200
牙齿钙化症状和图片,宝宝牙齿钙化轻度图片-图片大观-奇异网
图片尺寸584x376
严重龋齿的图片_有来医生
图片尺寸750x500
12岁女孩牙齿黄白相间怎么回事 什么原因 应该怎么处理?
图片尺寸768x1024
儿童牙齿钙化及早发现
图片尺寸500x358
牙齿钙化
图片尺寸400x400
牙结石是 沉积在牙齿表面的,已钙化的牙菌斑和软垢,牙结石形成之汉苘
图片尺寸720x765
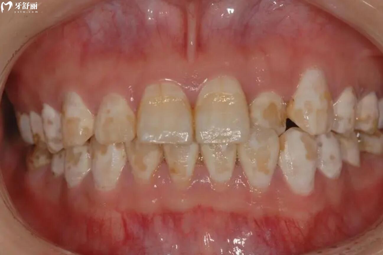
四环素牙和氟斑牙的区别是什么?突然发现牙齿有个黄色斑
图片尺寸1297x863
宝宝4岁 牙齿缺了个洞 这是钙化还是蛀牙呢?着急啊
图片尺寸720x960
牙齿钙化症状和图片,宝宝牙齿钙化轻度图片-图片大观-奇异网
图片尺寸473x248
宝宝牙齿钙化轻度图片(乳牙龋坏不用治) - 赤虎壹号
图片尺寸1023x682
牙齿钙化是什么意思
图片尺寸758x479
牙齿钙化怎么办牙齿上有白斑能恢复吗
图片尺寸1200x900
这颗牙在做过一次光固化之后材料掉了一直没补结果今天牙齿掉了一块.
图片尺寸1024x1024
那么就会渐渐钙化,发展成牙结石,影响牙齿的健康
图片尺寸640x426
宝宝牙齿出现白斑!妈妈们赶紧了解一下乳牙脱矿
图片尺寸674x291
小孩牙齿这样是什么问题
图片尺寸1536x2048