牙齿钙化的图片

中国医科大学附属口腔医院「三级甲等」 口腔科概述牙齿钙化的主要
图片尺寸844x563
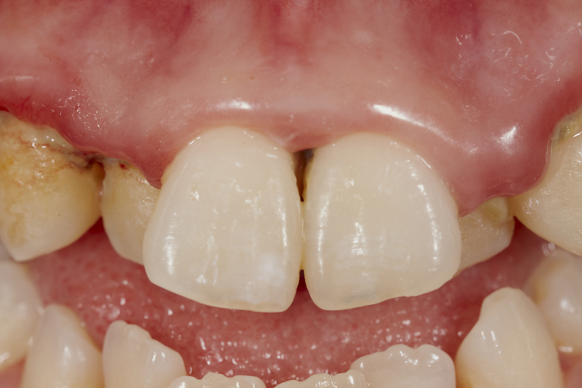
请问像我这样的牙齿怎么变白是什么原因导致的黄牙该怎么治疗呢
图片尺寸1022x681
宝宝牙齿钙化的图片
图片尺寸2000x1340
牙齿钙化
图片尺寸400x400
牙齿钙化症状和图片,宝宝牙齿钙化轻度图片-图片大观-奇异网
图片尺寸473x248
11566 了解牙齿钙化的原因 牙齿钙化的原因主要有两个方面:内因
图片尺寸1920x1280
那么就会渐渐钙化,发展成牙结石,影响牙齿的健康
图片尺寸640x426
牙齿这样了怎么办
图片尺寸1600x1200
牙齿钙化症状和图片,宝宝牙齿钙化轻度图片-图片大观-奇异网
图片尺寸584x376
宝宝4岁 牙齿缺了个洞 这是钙化还是蛀牙呢?着急啊
图片尺寸720x960
牙齿钙化是什么意思
图片尺寸758x479
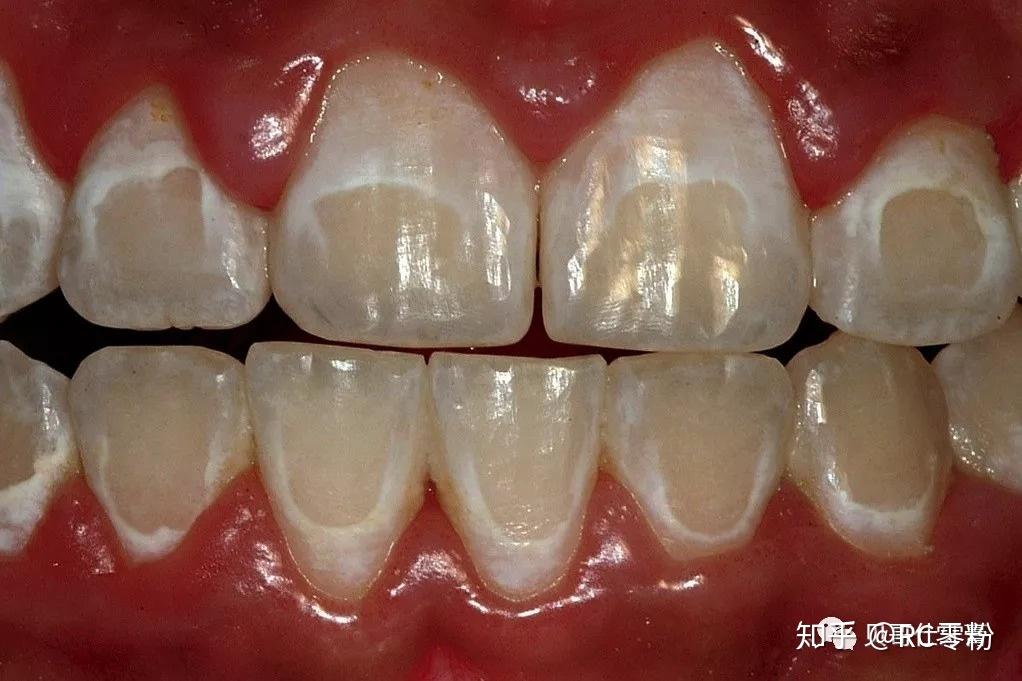
宝宝牙齿有点脱矿和白斑怎么办?
图片尺寸499x261
牙齿也会"脱钙"!
图片尺寸437x245
一例髓腔根管部分钙化的下颌第一磨牙的治疗
图片尺寸640x473
12岁女孩牙齿黄白相间怎么回事 什么原因 应该怎么处理?
图片尺寸768x1024
牙齿钙化症状和图片,宝宝牙齿钙化轻度图片-图片大观-奇异网
图片尺寸640x431
照片示:全部牙齿髓腔钙化,牙髓模糊不清
图片尺寸640x236
我的门牙和旁边两个牙齿有脱钙,还发黄,从小时候就是这样了,请问这是
图片尺寸1333x750
跪求大神,帮帮忙,孩子现在4岁牙齿都这样了,去医院医生说怀孕期间缺
图片尺寸816x612
牙结石又被称为"牙石",是牙齿表面附着的一些钙化物,看起来就像小石头
图片尺寸496x278