牙齿长反了的图片

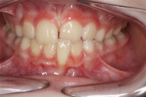
前牙反合
图片尺寸500x333
东莞美利口腔:替牙期孩子牙齿长歪了该怎么办?
图片尺寸1195x1593
昆山孩子牙齿长歪了怎么办
图片尺寸433x249
正常情况下,当上下牙齿咬合时,应该是上牙咬在下牙的前方,若相反,即下
图片尺寸1280x852
活动矫治器治疗前牙反合一例
图片尺寸636x390
小孩牙齿11岁了门牙一颗长,歪了怎么办
图片尺寸390x520
孩子换牙齿新长的牙齿却是歪的可能是家长这些没做好
图片尺寸512x412
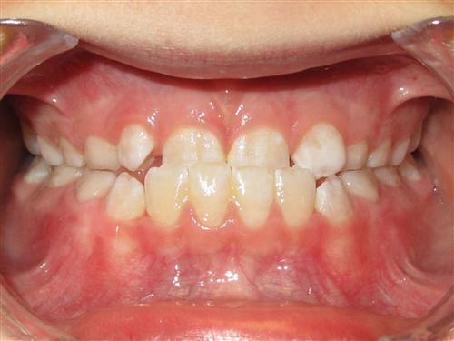
前牙反合
图片尺寸500x500
前牙反(牙合)牙齿图
图片尺寸750x500
▼下牙盖住上牙但有一种咬合却恰恰相反▼上牙盖住下牙约三分之一大概
图片尺寸1080x721
前牙反合
图片尺寸500x375
【文鑫口腔】为您的牙齿保驾护航公益活动,去年精彩,今年继续 牙齿
图片尺寸800x533
在替牙的过程中,尽早发现影响牙齿萌出替换建合的不利因素,简单的
图片尺寸6000x4000
扫面件为什么会歪_孩子换牙齿,新牙却长歪了怎么办?
图片尺寸640x437
孩子牙齿长歪了怎么办?家长记住这4点可以有效预防解决
图片尺寸500x299
前牙反合
图片尺寸485x325
以上两个小女孩,她们都是门牙长歪了的情况,并且她们的其他牙齿也长得
图片尺寸560x375
孩子换牙牙齿长歪了怎么办一招教你牙齿整整齐齐
图片尺寸300x225
三岁小孩牙是地包天(9岁男娃长成地包天)(1)
图片尺寸640x639
我家孩子牙齿有点反合,没有遗传因素,现在是换牙期,左下门牙已经长出
图片尺寸1024x768